概述
牙龈炎的黏膜损害可表现为牙龈表面充血、红肿,部分患者可出现牙龈萎缩的现象。该症状由牙龈炎症导致,患者需要及时就医治疗。
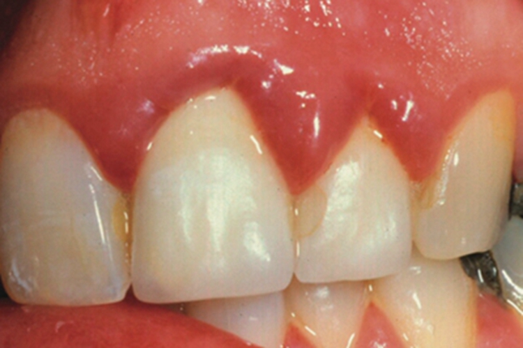
症状
牙龈炎的黏膜损害可表现为牙齿与牙龈之间的沟(龈沟)加深,牙龈充血、红肿,伴牙龈乳头肿胀,易出血,部分患者出现牙龈萎缩的现象。

病因
若患者刷牙习惯不好,可使牙菌斑沉积于牙齿与牙龈之间,造成龈沟加深,引发或加重牙龈炎症,进而导致牙龈周围血管迂曲、扩张,使牙龈红肿,若不及时治疗,病情加重可导致牙龈萎缩。
治疗
患者需要及时就医通过洁治术彻底清除菌斑和牙石,彻底纠正不良修复体等刺激因素。炎症较重者可配合局部药物治疗,包括过氧化氢溶液、醋酸氯己定溶液等,发挥抗菌、抗炎、消肿的作用。若以上方法均不得缓解,患者可进行牙周手术治疗,通过牙龈切除来恢复患者正常牙龈状态。需注意,以上治疗均需遵医嘱进行。
除此之外,患者应使用软毛牙刷,改善刷牙姿势,以彻底清除细菌和食物残留,并养成早晚刷牙,饭前饭后用淡盐水或漱口液漱口的良好习惯。
参考文献
[1]Robert;S.Porter,MD.默克诊疗手册;上.第19版[M].北京.人民卫生出版社.2014.710.
[2]刘秦鹏主编.现代临床外科疾病诊断与治疗[M].天津.天津科学技术出版社.2020.177.
展开
