概述
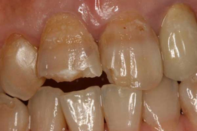
中度四环素牙,常在牙齿表面出现凹凸不平的竖状条纹,大多伴有牙齿颜色改变,是在牙齿的发育矿化期服用四环素类药物所致。
症状
中度四环素牙会看到牙齿出现明显的磨损缺失,牙齿表面凹凸不平,伴有竖纹,牙齿颜色发生改变,为黄褐色或褐色,严重影响牙齿美观。
病因
中度四环素牙是在牙齿的发育矿化期服用四环素类药物所致,可被结合到牙组织内,使牙着色。而且四环素可通过胎盘引起乳牙着色,且乳牙比恒牙着色明显。
治疗
中度四环素牙可通过漂白、光固化复合树脂修复、贴面修复、烤瓷冠修复等方法治疗。
参考文献
[1]周学东.牙体牙髓病学.第5版[M].北京.人民卫生出版社.2020.56-57.
[2]张志愿.口腔科学.第9版[M].北京.人民卫生出版社.2018.46.
展开
