概述
汗孔角化症可见于患者胸部,表现为多个与周围皮肤界限清楚的斑片,散在分布,可能与环境因素有关,需遵医嘱治疗。
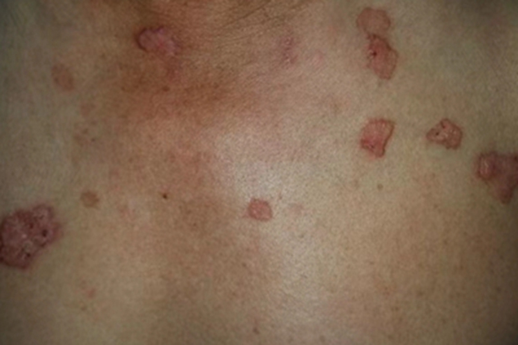
症状
汗孔角化症可见于患者胸部,表现为局部出现多个环形或不规则形的斑片,直径为2-3cm,散在分布,与周围皮肤界限清楚,中央皮肤干燥且有轻度萎缩,有时边缘像一圈黑线。

病因
汗孔角化症是一种常染色体显性遗传性疾病,在一家中常有几个患者,往往连续发生好几代。但部分散发的病例并无明显的家族史,因此发病可能也与环境因素、免疫因素等有关。
治疗
汗孔角化症可遵医嘱外用维A酸乳膏、过氧苯甲酰凝胶等药物,对单个皮损有效,同时可服用阿维A胶囊、异维A酸软胶囊治疗。对较小的损害可施行电干燥法、冷冻疗法及切除术。
参考文献
[1]朴永君.皮肤性病学.高级医师进阶.第1版[M].北京.中国协和医科大学出版社.2016.343-344.
[2]方洪元,邢卫斌,张秉新,徐海环.实用皮肤性病手册.第1版[M].北京.人民卫生出版社.2016.571-573.
[3]张建中,高兴华.皮肤性病学.第1版[M].北京.人民卫生出版社.2015.325.
展开
