概述
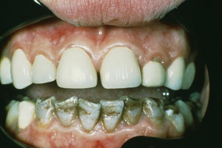
重度四环素牙出现牙齿表面凹凸不平,伴有带状着色,是牙齿发育矿化期间服用四环素族药物引起,可通过修复治疗。
症状
重度四环素牙可发生磨损、龋齿,导致牙齿表面凹凸不平,同时伴有黄灰色、灰褐色的带状着色。

病因
重度四环素牙是牙齿发育矿化期间,因服用四环素族药物而引起的牙体硬组织病变,四环素药物可以与牙体组织内的钙结合形成极稳定的螯合物,沉积于牙体组织中,使牙着色。
治疗
日常为防止重度四环素牙的发生,妊娠和哺乳的妇女,以及8岁以下的小儿不宜使用四环素类药物。重度四环素牙可用瓷贴面或烤瓷牙修复,也可用漂白术脱色。
参考文献
[1]周学东.牙体牙髓病学.第5版[M].北京.人民卫生出版社.2020.57.
[2]张震康,俞光岩,徐韬.实用口腔科学.第4版[M].北京.人民卫生出版社.2016.53.
展开
