概述
涎腺囊肿皮损可见疙瘩的症状,如蚕豆大小,该病是涎腺导管因炎症或结石阻塞使腺体分泌物潴留所致,可遵医嘱应用普鲁本辛溴化物。
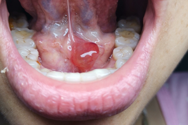
症状
涎腺囊肿皮损可表现为疙瘩,如蚕豆大小,质地较软,表面光滑,有反光感,患者可自觉有异物感,局部可自发破溃,流蛋清样液体,常反复出现。


病因
涎腺囊肿可发生在腮腺、颌下腺及舌下腺区,涎腺导管因炎症或结石阻塞使腺体分泌物潴留所致,阻塞原因多系损伤,有时多次反复损伤,可形成瘢痕而阻塞排泄管。
治疗
涎腺囊肿可应用普鲁本辛溴化物,或是局部注射A型肉毒杆菌毒素。治疗及用药需严格遵照医嘱,切不可自行处理。
参考文献
[1]严继萍主编.血管及浅表器官常见疾病超声诊断分册[M].太原:山西科学技术出版社,2014.38.
[2]徐秋华,周辉红主编.颌面颈部超声诊断学[M].北京:军事医学科学出版社,2015.60.
[3]姜颖,朱庆莉,张一休著.腹部及浅表器官;第2版[M].北京:科学技术文献出版社,2018.203.
[4](美)贝尔纳黛特·L.科.国际经典影像诊断学丛书;头颈部影像诊断学[M].江苏凤凰科学技术出版社,2019.405.
[5]栗建辉,郝冬梅,孙静主编.手把手教你学B超诊断;第3版[M].沈阳:辽宁科学技术出版社,2018.27.
展开
