概述
宫颈糜烂通常指临床所说的宫颈柱状上皮异位,宫颈糜烂2度多指异位面积占1/3-1/2之间的患者。
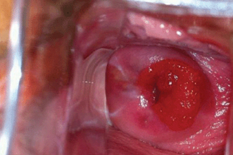
症状
中度宫颈柱状上皮异位指异位面积占1/3-1/2之间,常表现为白带增多,而分泌物增多可刺激外阴出现痛痒,若继发感染时白带可表现为黏稠或脓性,有时可带有血丝或少量血液,部分患者可出现接触性出血,下腹或腰背部下坠痛等症状。检查见宫颈表面呈红色黏膜状,鳞状上皮脱落,被柱状上皮所代替。

病因
与外源女性甾体激素、宫颈管和阴道内微环境及pH变化有关,性生活特别是高危性行为女性中由原始柱状和早期或中期鳞状化生上皮构成的移行带的变化也有一定关系。雌激素和孕激素水平升高,阴道微环境的酸性相对更强,造成宫颈外翻,暴露出宫颈管柱状上皮末端,导致翻转即原始柱状上皮暴露增加,导致宫颈柱状上皮异位。
治疗
中度宫颈柱状上皮异位可通过冷冻、激光、电凝、微波等物理方式将上皮异位组织碳化,形成结痂,结痂脱落后创面新生,达到修复目的。
参考文献
[1]严滨,吕恽怡.妇产科学高级医师进阶.第1版[M].北京.中国协和医科大学出版社.2016.252.
[2]赵骏达,李晓兰主编.新编妇产科疾病诊疗思维与实践[M].汕头:汕头大学出版社,2019.291-293.
展开
