概述
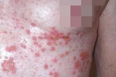
脂溢性皮炎发生在胸部时,可见丘疹、红斑、结痂、脱屑、糜烂等皮肤损害,伴瘙痒症状。
脂溢性皮炎可能与精神、饮食、酗酒等因素相关,临床常用外用药物进行治疗。
症状
胸部脂溢性皮炎皮损初起为毛囊性丘疹,逐渐扩大融合成暗红或黄红色斑,被覆油腻鳞屑,可出现渗出、结痂以及糜烂并呈湿疹样表现。严重者皮损泛发全身,皮肤呈弥漫性潮红和显著脱屑,患者常有不同程度瘙痒,本病慢性经过,可反复发生。



病因
脂溢性皮炎的病因尚不清楚,研究发现脂溢性皮炎与马拉色菌的定植和感染有关,在遗传性皮脂溢出体质的基础上,马拉色菌等微生物的寄生和繁殖可水解皮脂中的甘油三酯,产生的游离脂肪酸进一步刺激皮肤发生炎症反应。此外,患者的精神、饮食、维生素B族缺乏、嗜酒等因素亦有可能诱发脂溢性皮炎。
治疗
胸部脂溢性皮炎临床常用外用药物进行治疗,治疗原则是去脂、消炎、杀菌、止痒,常用的药物是含抗真菌药的混合制剂,如复方硝酸咪康唑软膏、硝酸益康唑乳膏。亦可外用钙调磷酸酶抑制剂,如吡美莫司乳膏。对于少量渗出、糜烂部位,可使用盐酸金霉素软膏或呋喃西林乳膏治疗。日常生活中应注意生活规律,睡眠充足,调节饮食,限制多脂和多糖饮食,多吃水果、蔬菜,忌饮酒及辛辣刺激性食物。避免各种机械性刺激,少用热水和碱性大的肥皂洗浴。
参考文献
[1]朴永君.皮肤性病学.高级医师进阶.第1版[M].北京.中国协和医科大学出版社.2016.305-308.
[2]杜建玲.内分泌学.高级医师进阶.第1版[M].北京.中国协和医科大学出版社.2016.357-358.
展开
