概述
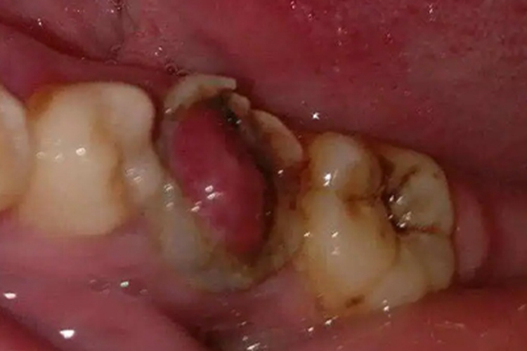
虫牙牙洞里长了一坨肉可能是牙髓息肉、牙龈息肉、牙周膜息肉等,可能伴随出血,具体表现存在差异,建议及时就诊,给予有效治疗。
症状
牙髓息肉、牙龈息肉、牙周膜息肉都可以引起虫牙牙洞里长了一坨肉,但是不同疾病的症状表现存在一定差异,需要根据具体的情况进行分析。
牙髓息肉:患牙大而且深的龋洞内有红色、“蘑菇”状的肉芽组织,可充满整个洞内,达咬(牙合)面,探之无痛,但是易出血,而且患牙及邻牙有牙石堆积。

牙龈息肉:该疾病主要是在患牙颌面出现龋洞,牙龈乳头增生入邻(牙合)面龋洞内或因髓底穿通,根分叉处牙周组织长入髓室而形成。

牙周膜息肉:该疾病主要是在患牙(牙合)面、邻唇面出现龋洞,牙龈乳头增生入邻(牙合)面龋洞内而形成。

病因
牙髓息肉、牙龈息肉、牙周膜息肉虽然可以引起虫牙牙洞里长了一坨肉,但具体病因有一定差异。
牙髓息肉:该疾病主要是由于患牙牙根尖孔粗大,血运丰富以及穿髓孔较大,足以允许炎症牙髓增生呈息肉状并自髓腔突出。
牙龈息肉:由于牙齿出现龋洞时,食物长期嵌塞,加之患牙龋损处粗糙边缘的刺激,牙龈乳头向龋洞所形成的空间增生。
牙周膜息肉:由于多根牙的龋损穿通髓腔后进而破坏髓室底,根分叉处牙周膜因外界刺激而反应性增生,肉芽组织由髓室底穿孔处长入连通髓腔的龋损内。
治疗
当牙髓息肉炎症已扩散至全部牙髓,牙髓无法自身修复,此时需要尽早采取根管治疗的方法,摘除感染牙髓,防止炎症扩散。对于牙龈息肉和牙周膜息肉的患者,可以由医生将息肉自蒂部切除,并及时修补龋齿。
参考文献
[1]樊明文主编.中华医学百科全书 2 临床医学 口腔医学[M].北京:中国协和医科大学出版社.2018.40.
[2]周学东.牙体牙髓病学.第5版[M].北京.人民卫生出版社.2020.169.
展开
