概述
牙龈炎可导致牙龈充血、红肿,表面光滑、发亮,可有鲜红色的红血丝。该病的发生多与口腔卫生差有关,需遵医嘱治疗。
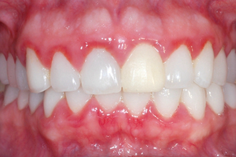
症状
牙龈炎可导致牙龈出现不同程度的充血、红肿,可呈淡红色、粉白色,颜色分布不均,表面光滑、发亮,同时表面可有鲜红色的红血丝,分布无具体规律,之间可交叉、汇聚。患者刷牙或进食质地稍硬的食物时,可有牙龈出血、疼痛等不适。

病因
牙龈炎的发生多与口腔卫生差有关,不坚持使用正确的刷牙方式早、晚刷牙,以及进食后不漱口等,均可导致牙菌斑、牙结石形成,并刺激局部牙龈,导致牙龈发生充血、红肿。
治疗
牙龈炎患者需遵医嘱使用复方氯己定含漱液、复方硼砂含漱液等药物含漱,并联合使用头孢克肟片、阿莫西林胶囊、甲硝唑片等抗感染药物治疗,以减轻不适感,避免疾病症状有持续性发展。
日常应注意保护口腔卫生,坚持使用正确的刷牙方式早、晚刷牙,如巴氏刷牙法、旋转式刷牙法等,注意力度适中,同时进食后应注意漱口,以保持口腔健康。
参考文献
[1]Robert.S.Porter,MD.默克诊疗手册.上.第19版[M].北京.人民卫生出版社.2014.710.
[2]刘秦鹏主编.现代临床外科疾病诊断与治疗[M].天津.天津科学技术出版社.2020.177.
展开
