概述
近节趾骨骨折表现为足趾呈爪状畸形,伴有疼痛等不适症状,多因重物压砸导致,需遵医嘱进行相应的治疗。
症状
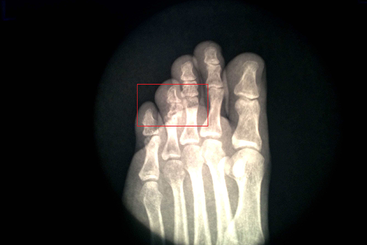
近节趾骨骨折多无明显移位,近节趾骨骨折由于骨间肌和蚓状肌的牵拉,向跖侧成角,使足趾呈爪状畸形,在路面形成骨性硬结,有明显的触痛,会给行走带来困难。X线等影像学检查可见,双籽骨或三籽骨为双侧性,边缘光滑。

病因
近节趾骨骨折病因多为重物砸伤或踢碰硬物,前者表现多为粉碎或纵裂骨折,而后者多为横断或斜行骨折。
治疗
近节趾骨骨折若无移位一般不需特殊治疗,对开放性损伤要保持局部清洁,防止感染。移位较大者,可手法复位,用胶布作邻趾固定3-4周。去除固定后穿硬底鞋,并在跖骨头手面钉上跖骨板作行走操练。必要时需进行手术治疗。如果关节内骨折块明显累及拇趾趾骨间或跖趾关节,则需要切开复位内固定,以防止畸形和关节退行性变。
参考文献
[1]刘喜松编著.急性外伤性疾病的诊疗与护理[M].昆明.云南科技出版社,2016.185-186.
[2]徐向阳主编.实用足踝外科手术技术[M].上海.上海科学技术出版社,2019.49.
展开
