概述
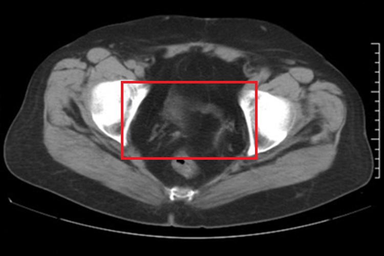
子宫切除后恢复以后,腹腔镜手术患者腹部可见有较浅的瘢痕形成。另外,患者影像学检查可见子宫体、子宫颈缺如。
症状
子宫切除术可经腹腔镜或经阴道等途径进行,而腹腔镜手术时腹部会有3-4个穿刺点,分别位于肚脐处,左、右侧腹部,耻骨联合上方。腹腔镜伤口较小,伤口恢复后局部遗留淡红色瘢痕,无明显增生。影像学检查可见子宫体、子宫颈缺如,阴道残端可出现条带状软组织密度影。


适应症
子宫切除适用于多发性子宫肌瘤、宫颈肌瘤患者,子宫肌瘤合并子宫内膜良性病变或不典型增生者,子宫肌瘤合并宫颈良性病变者,子宫癌变需行根治性手术者。
参考文献
[1]段志军.内科学高级医师进阶.第1版[M].北京.中国协和医科大学出版社.2016.468-477.
[2]王天宝,王劲,周建华,沈慧敏主编.盆腔外科手术与图谱 普及版[M].广州.广东科技出版社.2018.323-325.
展开
