概述
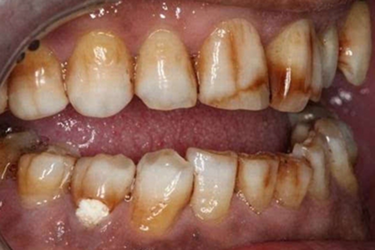
氟牙症可表现为患者牙齿表面有大量的褐色条纹,颜色深浅不一,染色面积和形状不同。
该病主要是因在牙齿发育的过程中,长期在高氟环境中生活而导致,需遵医嘱采取相应治疗。
症状
氟牙症可表现为患者牙齿表面有大量的褐色条纹,颜色深浅不一,染色面积和形状不同,不伴有牙齿疼痛等不适。

病因
氟斑牙主要是因在牙齿发育的过程中,长期在高氟环境中生活而导致的慢性中毒性疾病,多是从饮水、空气或食物摄取了过高浓度的氟化物而引起。氟在体内蓄积,蓄积的主要部位在牙齿和骨骼,因此会出现氟斑牙,影响牙齿、牙釉质的发育。
治疗
对于氟牙症牙齿有条纹样改变的情况,主要通过药物治疗、一般治疗促进氟排泄。
药物治疗:常用的包括碳酸钙、葡萄糖酸钙等钙剂,氢氧化铝等铝盐,维生素C、维生素E、维生素D等维生素制剂,以及多维元素片,可减少氟的吸收,增加氟的排泄。
一般治疗:日常应多吃新鲜蔬菜、水果,多喝牛奶、酸奶等奶制品,以补充维生素和钙质,促进氟离子排泄。
对于牙齿有条纹样改变的情况,可通过漂白、光固化复合树脂修复、贴面修复、烤瓷冠修复等方法治疗。
参考文献
[1]刘德培.中华医学百科全书公共卫生学环境卫生学[M].北京.中国协和医科大学出版社.2017.366-368.
[2]王旭霞,杨征主编.全国普通高等医学院校五年制临床医学专业“十三五”规划教材 口腔科学[M].北京:中国医药科技出版社,2016.11.133.
展开
