概述
局限型侵袭性牙周炎可见患者受累部位出现白斑,皮损形态不规则,主要由伴放线放线杆菌感染导致,需遵医嘱治疗。
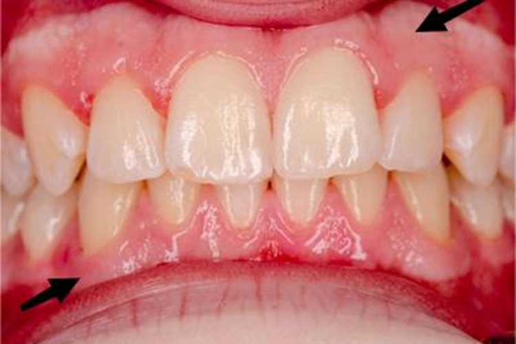
症状
局限型侵袭性牙周炎患者受累部位黏膜可出现肿胀,进而颜色变浅,外观似白斑,皮损形状不规则,部分边缘发红,触摸时有轻微的不适感。

病因
局限型侵袭性牙周炎的主要致病菌为伴放线放线杆菌,在亚洲人群中侵袭性牙周炎表现为牙龈卟啉单胞菌比例升高,该病带有家族遗传性。
治疗
局限型侵袭性牙周炎应早期实施洁治、刮治和根面平整等基础治疗,彻底清除感染,也可遵医嘱使用甲硝唑、阿莫西林等药物进行治疗,炎症控制后,对于病情不太严重而有牙移位的患者,可在医生指导下用正畸方法将移位牙复位排齐。进入维护期后,应进行牙周支持疗法,定期复查监控病情。
参考文献
[1]张志愿.口腔科学.第9版[M].北京.人民卫生出版社.2018.68.
[2]孟焕新.牙周病学.第5版[M].北京.人民卫生出版社.2020.151.
展开
