概述
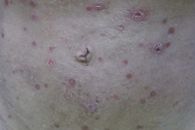
女性梅毒可累及患者腹部,表现为针尖至绿豆大小的暗红色丘疹,并不融合。
该病是由梅毒螺旋体感染引起,可以应用青霉素进行治疗。
症状
女性梅毒可累及患者腹部,表现为暗红色丘疹,为针尖至绿豆大小,丘疹间没有融合的现象,患者还伴有发热、瘙痒、头痛等症状。


病因
女性梅毒是由梅毒螺旋体感染引起的一种疾病,感染者血液、精液、乳汁等体液中均可含有病毒。如果健康人群与梅毒患者进行性接触,病毒容易通过皮肤黏膜的细小破损进入机体,进而引发疾病。如果母亲患有梅毒,胎儿也易患病,即“胎传梅毒”。也有部分人群可通过接触被污染的用品而被感染,但较为少见。
治疗
女性梅毒患者可以应用青霉素进行治疗,常见的如苄星青霉素、普鲁卡因青霉素G等;如果对青霉素过敏,也可应用头孢曲松等药物。患者注意定期随访,如果存在复发情况,除在专业医生指导下,进行再次治疗外,必要时还可进行脑脊液检查,以明确具体情况,注意上述治疗均应遵医嘱。
参考文献
[1]冷欣颖,邹华春,付雷雯等.2021年美国CDC梅毒诊疗指南注意事项读解[J].皮肤性病诊疗学杂志.2022.29(1):7.
[2]李兰娟,任红.传染病学.第9版[M].北京.人民卫生出版社.2018.249-255.
展开
