概述
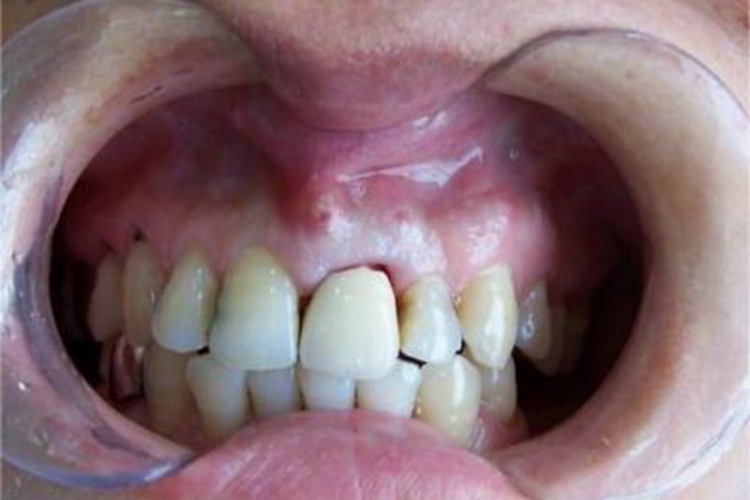
牙周脓肿可表现为牙龈表面有窦道,呈小孔状,可流出脓液。
该病主要是牙周炎发展到晚期所致,可遵医嘱治疗。
症状
牙周脓肿急性期过后未及时治疗或反复急性发作,可导致慢性牙周脓肿,表现为牙龈表面有窦道开口,呈小孔状,针尖大小,按压时有少许脓液流出。

病因
牙周脓肿主要是牙周炎发展到晚期导致深牙周袋,袋内出现化脓性炎症,脓液不能及时排出,从而形成袋壁软组织内的脓肿。诱发因素包括机体抵抗力下降、严重的全身疾病、洁治或刮治时动作粗暴等。
治疗
在脓肿初期脓液尚未形成前,可清除大块牙石,冲洗牙周袋,将防腐抗菌药引入袋内,必要时全身给予抗生素或支持疗法。
当脓液形成且局限而出现波动时,可从牙周袋内或牙龈表面引流,前者可用尖探针从袋内壁刺入脓腔,后者可在表面麻醉下用尖刀片切开脓肿达深部,以使脓液充分引流。切开后彻底冲洗脓腔,或在局麻下彻底进行龈下清创术,注意上述治疗均应遵医嘱。
参考文献
[1]孟焕新.牙周病学.第5版[M].北京.人民卫生出版社.2020.173-175.
[2]樊明文主编.中华医学百科全书 2 临床医学 口腔医学[M].北京:中国协和医科大学出版社,2018.11.94.
展开
