概述
牙龈内侧肿成大包还可能伴随牙龈呈鲜红色、口腔异味、牙齿疼痛等症状。
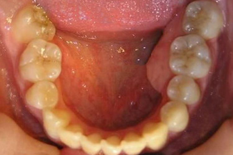
牙龈内侧肿成大包可能由骨隆突、慢性根尖周炎、急性牙周脓肿等原因引起。
症状
牙龈内侧肿成大包可能由骨隆突、慢性根尖周炎、急性牙周脓肿等原因引起,不同疾病症状表现有所不同,具体如下:
骨隆突
表现为局限的圆形突起,质地坚硬,表面光滑,黏膜正常。

慢性根尖周炎
一般无自觉症状,患牙在咀嚼时可有不适感,也可伴有牙髓肿痛。

急性牙周脓肿
可表现为在患牙的舌腭侧牙龈形成椭圆形或半球状的肿胀突起,牙龈发红、水肿,表面光亮。脓肿的早期疼痛较明显,后期疼痛稍减轻,此时可有脓液溢出。

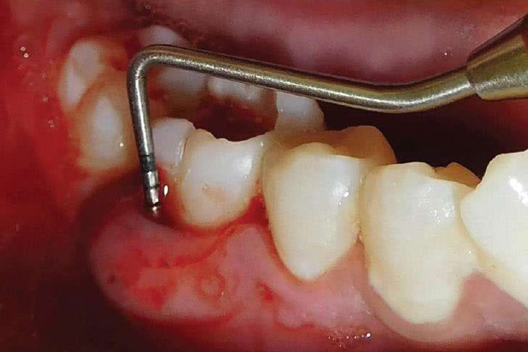
病因
牙龈内侧肿成大包可能由骨隆突、慢性根尖周炎、急性牙周脓肿等原因引起,主要病因如下:
骨隆突:是由于局部增生、膨隆而造成牙龈内侧出现大包。
慢性根尖周炎、急性牙周脓肿:炎性物质聚集在牙龈内侧,形成脓肿,进而导致牙龈内侧肿成大包。
治疗
牙龈内侧肿成大包需根据具体疾病进行针对性治疗。
骨隆突:不影响义齿修复者无须处理,相反,应行骨隆突修整术,包括下颌隆突修整术、腭隆突修整术等。
慢性根尖周炎:首选根管治疗。较大的根尖病变,尤其是根尖周囊肿患牙,在根管治疗的基础上有时还需做根尖手术。根管治疗后,择期进行牙冠的修复,可根据剩余牙体组织的量选择复合树脂直接粘接修复,嵌体修复,或全冠、桩核冠修复。严重的患牙,应予以拔除。
急性牙周脓肿:治疗原则是止痛、防止感染扩散以及使脓液引流。在脓肿初期脓液尚未形成前,可轻轻清除大块牙石,冲洗牙周袋,将防腐抗菌药引入袋内,必要时全身给以抗生素或支持疗法。当脓液形成且局限、出现波动时,可在牙周袋内或牙龈表面引流。并应彻底冲洗脓腔,或在局麻下彻底进行龈下清创术。
参考文献
[1]孟焕新.牙周病学.第5版[M].北京.人民卫生出版社.2020.172-175.
[2]周学东.牙体牙髓病学.第5版[M].北京.人民卫生出版社.2020.183-185.
