概述
重型阿弗他溃疡可表现为患者口腔出现溃疡,面积较大,边缘不齐,表面有渗出物,可能与免疫异常、遗传等有关,可遵医嘱给予治疗。
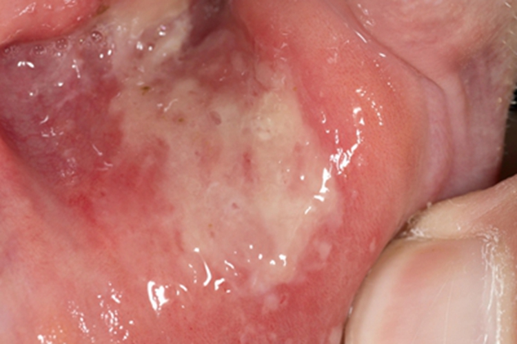
症状
重型阿弗他溃疡的黏膜损害发生在口腔,临床可表现为局部出现面积较大的溃疡,边缘不齐、高低不平,四周有炎症反应,表面覆盖灰黄色纤维素性渗出物,病程较长,一般数周至12个月溃疡才能愈合。


病因
重型阿弗他溃疡病因复杂,有明显的个体差异。免疫异常(细胞与体液免疫)、遗传、感染(细菌、病毒)、系统性疾病(消化道疾病、糖尿病、月经紊乱等)等可能与本病的发生有关。
治疗
重型阿弗他溃疡主要治疗药物为糖皮质激素制剂,最好用凝胶或软膏;重型患者可用糖皮质激素局部注射。外用麻醉剂如盐酸利多卡因、盐酸丁卡因或盐酸达克罗宁有助于缓解疼痛。疼痛严重的患者应间歇系统应用糖皮质激素,如醋酸泼尼松,以上治疗均需遵医嘱进行。
参考文献
[1]张建中,高兴华.皮肤性病学.第1版[M].北京.人民卫生出版社.2015.308-309.
[2]张志愿.口腔科学.第9版[M].北京.人民卫生出版社.2018.73-74.
展开
