概述
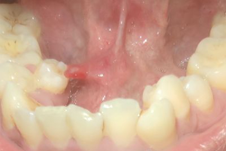
涎腺囊肿症状表现为舌头根部出现一个鲜红色的突起物,状似小肉赘,大小如绿豆,可遵医嘱局部注射碘酊治疗。
症状
涎腺囊肿症状表现为舌头根部出现一个鲜红色的突起物,状似小肉赘,如绿豆大小,触摸时自觉柔软并且有轻微的波动感,无明显的不适。

病因
涎腺囊肿可发生在腮腺、颌下腺及舌下腺区,涎腺导管因炎症或结石阻塞使腺体分泌物潴留所致,阻塞原因多系损伤,有时多次反复损伤,可形成瘢痕而阻塞排泄管。
治疗
涎腺囊肿可遵医嘱局部注射碘酊或局部注射A型肉毒杆菌毒素。
参考文献
[1]严继萍主编.血管及浅表器官常见疾病超声诊断分册[M].太原:山西科学技术出版社,2014.38.
[2]徐秋华,周辉红主编.颌面颈部超声诊断学[M].北京:军事医学科学出版社,2015.60.
展开
