概述
正常人舌下,多是指位于舌系带两侧的纵行大络脉,又称舌下络脉。
正常人舌下络脉隐现于舌下,呈线状有序排列,颜色淡红色或淡紫色。
正常表现
舌下络脉为少阴肾经循于体表的脉络,正常外观以单支干为主,呈线状有序排列。一般多为不隆起或上平下隆,颜色可为淡红色或淡紫色。正常情况下,其长度不超过舌下肉阜至舌尖连线的3/5。同时脉络无怒张、紧束、弯曲、增生等异常表现。

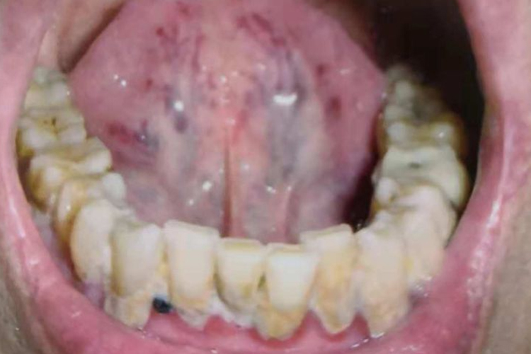
异常表现
舌下络脉常见的异常表现为舌下络脉曲张、舌下络脉瘀点、舌下络脉淤丝等,多为血瘀征象,可能与气滞、寒凝、热郁、痰湿、气虚、阳虚等有关。
舌下络脉曲张:表现为舌下络脉静脉干饱满、隆起,直径大于2.7mm,伴有迂曲,甚至成囊柱状或串珠状;

舌下络脉瘀点:表现为舌下络脉出现暗红或紫褐色点状凸起或蓝色丘疹样改变;

舌下络脉淤丝:表现为舌下或外侧带边缘呈青紫色丝条状或丝网状改变。

参考文献
[1]梁嵘.数字舌诊基础教程[M].北京.中国医药科技出版社, 2020.157.
[2]江满春.图解望舌识病与艾灸配穴[M].郑州.河南科学技术出版社, 2020.48.
[3]任健.中医诊断学[M].济南.山东科学技术出版社, 2020.80.
展开
