概述
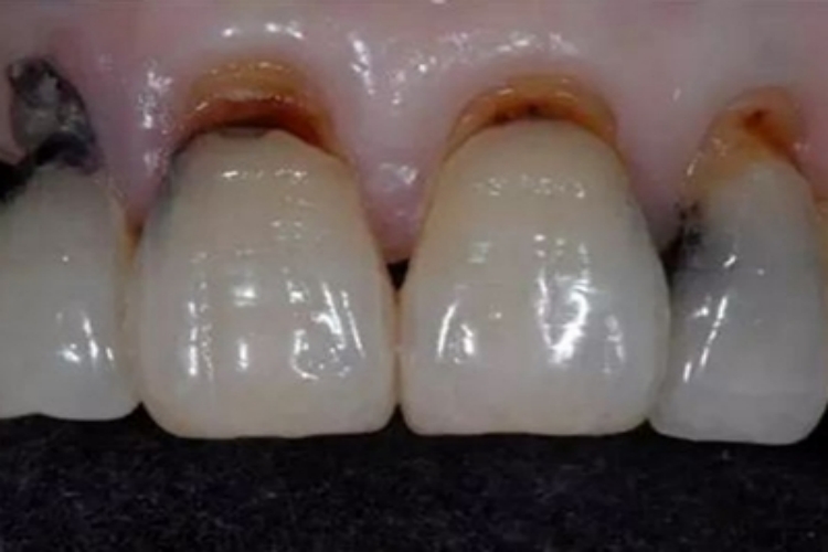
楔状缺损可引起牙龈萎缩,并且牙龈与牙的交界处因缺损产生肿胀、发黑的表现,是由炎症反应导致,需进行手术治疗。
症状
楔状缺损可引起牙龈萎缩,并且牙龈与牙的交界处因缺损产生肿胀、发黑的表现,随年龄增长,楔状缺损有增加的趋势。

病因
楔状缺损可使得牙齿颈部敏感的牙本质暴露在外界环境中,容易受到热、冷、酸性和机械性刺激,进而引发炎症反应。牙齿颈部的牙本质受到炎症刺激后,会出现血管扩张,血流量增加,导致牙龈组织充血与水肿。而充血的血管在光线下会显露出黑褐色,从而使牙龈呈现萎缩发黑的现象。
治疗
对于楔状缺损患者,首先需要对楔状缺损进行修复,填补缺损区域,以阻止进一步的牙釉质脱失。然后根据个体情况,可以进行牙龈移植术或牙龈移植修复术,以恢复萎缩的牙龈组织。移植的牙龈组织可以来自患者自身的口腔组织或通过人工材料进行修复。患者要遵循医生的指导进行规范治疗。
参考文献
[1]周学东.牙体牙髓病学.第5版[M].北京.人民卫生出版社.2020.73-75.
[2]张志愿.口腔科学.第9版[M].北京.人民卫生出版社.2018.46-47.
[3]张震康,俞光岩,徐韬.实用口腔科学.第4版[M].北京.人民卫生出版社.2016.38-39.
展开
