概述
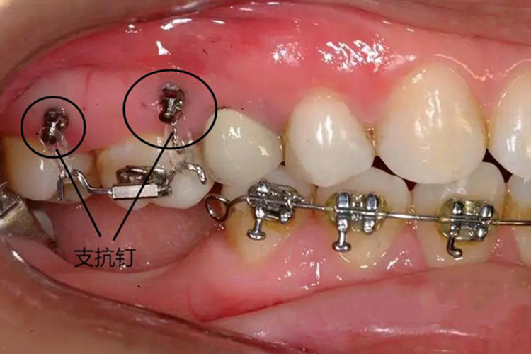
正畸附件是用于正畸治疗的多种装置,包括正畸弓丝、托槽、支抗钉等,可用于移动牙齿位置,使用期间注意口腔卫生。
种类及作用
正畸附件是用于正畸治疗的常规辅助装置,包括正畸弓丝、托槽、支抗钉等。可以使用高分子粘合材料直接粘合在牙面上,具有辅助固位、辅助移动的功能,通过各个正畸附件的相互作用移动牙齿位置,达到正畸效果。


注意事项
正畸附件较为娇贵,高压灭菌法、化学消毒剂浸泡法均不适宜。临床上多采用甲醛熏蒸法进行消毒,或以乙醇棉球,消毒剂棉球进行擦拭。使用正畸期间要注意口腔卫生,进食后要刷牙,尽量选择温软的食物,少吃过黏的食物,水果、饼干要小口。若出现脱落、损坏,应及时告知医生并妥善处理。
参考文献
[1]符志锋主编.口腔疾病临床诊治与急救护理[M].长春.吉林科学技术出版社.2019.281.
[2]赵志河.口腔正畸学.第7版[M].北京.人民卫生出版社.2020.141.
[3]樊明文主编.中华医学百科全书 2 临床医学 口腔医学[M].北京.中国协和医科大学出版社.2018.152-154.
[4]孙彩琴等主编.当代临床护理新实践[M].长春.吉林科学技术出版社.2019.168.
展开
