概述
脸上有很多密密麻麻的小颗粒,可能为粉刺、脂肪粒、痱子,部分人群还可能会表现为局部红肿、瘙痒的情况。
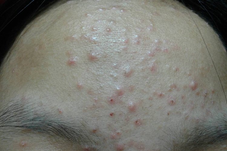
症状
脸上有很多密密麻麻的小颗粒,可能为粉刺、脂肪粒、痱子,其症状均不相同,具体如下:
粉刺:粉刺是以面部出现脓疱、结节或丘疹,可挤出白色分泌物为主症的一种皮肤病症,仔细观察脸部,可看到一个个密密麻麻突起的颗粒物,触摸时有凹凸不平的感觉。

脂肪粒:脂肪粒是长在皮肤上的白色小颗粒,大小不一,大至小米,小至针尖,一般容易出现在眼睛周围,密密麻麻,不易消去,可以挤出白色米粒的颗粒。

痱子:痱子常在颈部、躯干、四肢部位出现,形成密密麻麻的小颗粒,为针头大小的丘疹,痛痒不适,皮疹的顶端带有一个白色的疱疹,周围有红晕,严重时融合成一片红斑。

病因
脸上有很多密密麻麻的小颗粒的原因不同,具体如下:
粉刺:粉刺可能是由于身体内分泌失调引起,也可能是因为使用含油量高、厚重的护肤产品和化妆品,加重毛孔堵塞引起。
脂肪粒:如果内分泌过旺引起脸部油脂过多,清洁不到位致堵塞毛孔,会出现脂肪粒。如果使用的护肤产品过于油腻,皮肤无法充分吸收,也会形成油脂堆积在毛孔中,从而形成脂肪粒。此外,如果在日常护理过程中用磨砂膏、去角质产品,或频繁化彩妆等,在皮肤表面形成微小伤口,皮肤在自行修补的过程中也会形成脂肪粒。
痱子:如果夏天气温高,汗液分泌多,蒸发不畅,导致汗孔堵塞,可在皮肤上出现许多针头大小的痱子。
治疗
由于脸上有很多密密麻麻的小颗粒的原因不同,其治疗方法也不相同,具体如下:
粉刺:对于出现粉刺的患者,应选择合适的洁面产品,去除皮肤表面多余的油脂、皮屑和细菌混合物,但不能过分清洗。症状轻者使用维A酸、过氧苯甲酰、抗生素软膏等外用药即可,严重者可系统用药,包括全身使用抗生素、异维A酸、抗雄激素药物以及糖皮质激素。
脂肪粒:对于出现脂肪粒的患者,可由专业人士局部用乙醇消毒后,用消毒针头或小刀挑破切开表面皮肤,用粉刺挤压器挤出白色颗粒。如果脂肪粒较多,可采取电干燥法烧焦表皮,挤出脂肪粒,或采用激光消融的方法予以除去。
痱子:在夏季应注意通风散热,衣着宽松透气,保持皮肤清洁干燥。对于该类患者,外用药物治疗以清凉、收敛、止痒为原则,可遵医嘱外用炉甘石洗剂,脓痱可外用鱼石脂软膏。
参考文献
[1]张学军,郑捷.皮肤性病学.第9版[M].北京.人民卫生出版社.2018.125-126.
[2]朱坤福,祝蕾编著.中医外治疗法[M].北京:中医古籍出版社,2019.04.243.
[3]李丽霞,祝维峰,黄应杰主编.常见病针药结合治疗[M].广州:中山大学出版社,2019.12.244.
[4]何昌善,林绍彬主编.临症用药纲目[M].北京:中国医药科技出版社,2017.09.1044-1045.
