概述
脑梗在医学上称为脑梗死,在影像学中分为缺血性梗死、出血性梗死和腔隙性梗死。
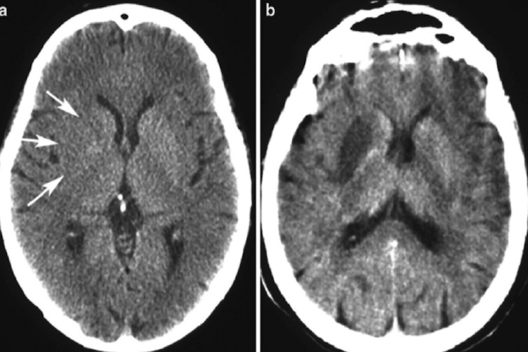
不同的脑梗死在CT影像上的表现也不同,大多可见异常的低密度灶或高密度灶。
影像学表现
脑梗在医学上称脑梗死,为脑血管闭塞所致脑组织缺血性坏死,在影像学中分为缺血性梗死、出血性梗死和腔隙性梗死,CT变化具体如下:
缺血性梗死:CT平扫,在发病24小时内常难以显示病灶;4小时后表现为低密度灶,部位和范围与闭塞血管供血区一致,皮髓质同时受累,多呈扇形,可有占位效应,但相对较轻;增强扫描,发病当天灌注成像即能发现异常,表现病变区脑血流量明显减低;其后普通增强可见脑回状强化。1~2个月后形成边界清楚的低密度囊腔,且不再发生强化。

出血性梗死:常发生在缺血性梗死一周后,CT平扫呈低密度脑梗死灶内,出现不规则斑点、片状高密度出血灶,占位效应较明显。
腔隙性梗死:系深部髓质穿支动脉闭塞所致,发病24小时后CT平扫可见脑深部的片状低密度区,无占位效应。


治疗
脑梗死治疗以挽救缺血半暗带,避免或减轻原发性脑损伤为主,包括一般处理和特异性治疗,具体如下:
一般处理:包括吸氧和通气支持,必要时可给予吸氧或辅助通气,以维持氧饱和度;进行心脏监测和心脏病变处理,避免或慎用增加心脏负担的药物;对体温>38℃的患者应给予退热措施,应以物理降温为主,如冰帽、冰毯或乙醇擦浴等;血压和血糖控制。
特异性治疗:包括静脉溶栓治疗,血管内介入治疗,如动脉溶栓、桥接、机械取栓、血管成形和支架术等,同时需要配合抗血小板、抗凝治疗等。
参考文献
[1]徐克,龚启勇,韩萍.医学影像学.第8版[M].北京:人民卫生出版社,2018:60.
[2]贾建平,陈生弟.神经病学.第8版[M].北京:人民卫生出版社,2018:201-202.
展开
