概述
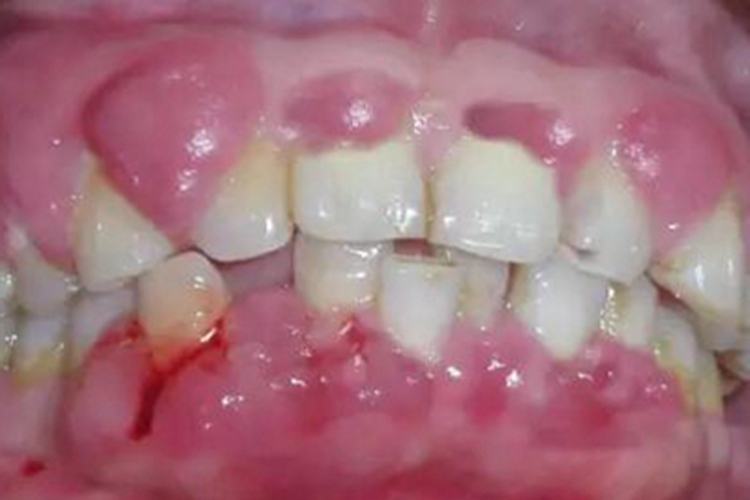
急性坏死性龈口炎可表现为患者局部形成包块,表面光滑,部分有出血,是由梭杆菌和螺旋体感染引起,可遵医嘱给予抗感染治疗。
症状
急性坏死性龈口炎的黏膜损害,可表现为局部黏膜表面肿胀,形成包块,表面紧实光滑,为红色不规则的形状,大小也不一样,部分有出血表现,属于严重情况。

病因
急性坏死性龈口炎是由梭杆菌和螺旋体感染引起的发生在牙龈边缘的急性坏死性口腔疾病。正常情况下梭状杆菌和螺旋体为口内共生菌,一般不感染致病,但在过度疲劳、营养不良引起菌群失调时可引发口腔黏膜病损。
治疗
急性坏死性龈口炎需尽早给予抗感染治疗,如早期可刮去坏死组织及大块牙石,使用过氧化氢溶液冲洗;再使用甲硝唑片、维生素C片等药物,还可选择银花、甘草等中药煎水漱口,以上治疗均需遵医嘱进行。
参考文献
[1]樊明文主编.中华医学百科全书.2.临床医学.口腔医学[M].北京:中国协和医科大学出版社,2018.225-226.
[2]张佐主编.口腔临床实践指导[M].北京.阳光出版社,2017.226-227.
展开
