概述
肺癌又称原发性支气管癌,胸片主要表现为存在肺部结节、肿块影等征象。
肺癌的病因和发病机制未明确,可能与吸烟、职业致癌因子、空气污染等因素有关。
症状
肺癌在临床可为中央型肺癌和周围型肺癌,通过胸片检查是发现该疾病最常用的方法之一。
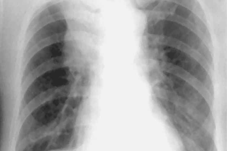
中央型肺癌
中央型肺癌早期胸片上常无异常表现,偶尔可有局限性肺气肿或阻塞性肺炎表现。中晚期胸片上主要表现为肺门区肿块,呈分叶状或边缘不规则形,常可伴有阻塞性肺炎或肺不张。

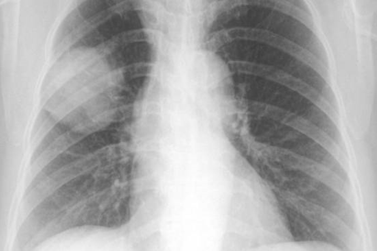
周围型肺癌
周围型肺癌早期多呈局限性小斑片状阴影,边缘不清,密度较淡,也可呈结节、球状、网状阴影或磨玻璃影,易误诊为炎症或结核。中晚期胸片上大多表现为肺内球形肿块影,可见分叶短细毛刺及胸膜凹陷征;当肿瘤坏死经支气管引流后,可形成厚壁偏心空洞;肿块内钙化较少见。

病因
肺癌的病因尚未明确,可能与吸烟、大气污染、化学物质、电离辐射、肺结核等因素有关,上述物质中多含有致癌因子,接触时间越长,其出现肺癌的可能性越大。
治疗
肺癌的治疗应在明确病理类型、临床分期,并由专业医生对患者整体状态评估后进行综合治疗,可分为药物、手术、放疗及介入治疗。
常用药物有注射用盐酸吉西他滨、酒石酸长春瑞滨注射液等。手术治疗可分为根治性与姑息性手术,还可辅以放疗缓解症状。若患者已处于晚期,可使用介入治疗,如支气管动脉灌注化疗、经支气管镜介入治疗等。
参考文献
[1]葛均波,徐永健,王辰.内科学.第9版[M].北京.人民卫生出版社.2018.75-86.
[2]王冠军,赫捷.肿瘤学概论[M].人民卫生出版社.2013.164.
[3]张春霞.肿瘤内科学高级医师进阶.第1版[M].北京.中国协和医科大学出版社.2016.387.
展开
