概述
肺结核内部难以直接观察,可通过影像学检查来观察患者肺内部的情况,如CT等。
肺结核类型不同,通过CT观察到的内部症状也不同,典型症状为钙化灶和空洞。
内部表现
肺结核可分为原发性肺结核、血行播散型肺结核、继发性肺结核等类型,均难以直接观察内部症状,可通过CT进行影像学检查,明确内部症状及病情。
原发性肺结核:通过CT检查可发现肺门与纵隔淋巴结增大,清楚显示其形态、大小、数目、边缘和密度等。由于增大淋巴结的中心常为干酪样坏死物质,增强CT时,中心不强化、周边强化,呈环状强化表现。

血行播散型肺结核:CT检查可更加清晰地显示粟粒性病灶,病灶直径1-3mm,大小、密度、分布均匀,边界较清晰。

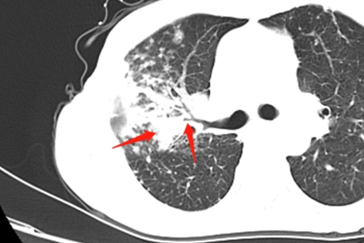
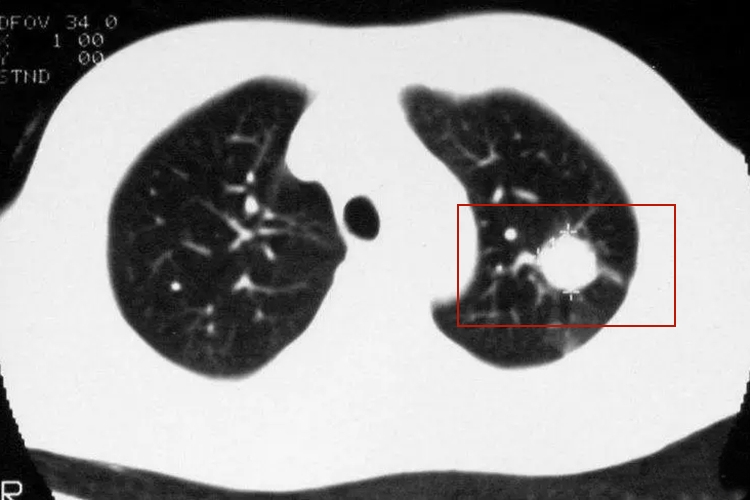
继发性肺结核:具体表现多样,如斑片影、空洞、结核球等。影像学可出现局限性斑片影,见于两肺上叶尖段、后段和下叶背段,还可有肺段或肺叶大片致密性实变,其内可见一个或多个空洞,为虫蚀样空洞,边缘模糊。结核球为圆形椭圆形影,大小0.5-4cm不等,多为2-3cm,边缘清晰,轮廓光滑。

治疗
肺结核的基础治疗是化学治疗,通过医生指导应用化学药物,最终灭菌,防止和杜绝复发。当前公认的治疗原则是早期、联合、适量、规律、全程,常用药物有链霉素、异烟肼、利福平、吡嗪酰胺、乙胺丁醇等。如出现肺结核空洞、并发大咯血、合并脓胸等情况时,可遵医嘱进行手术治疗。
参考文献
[1]徐克,龚启勇,韩萍.医学影像学.第8版[M].北京.人民卫生出版社.2018.124-125.
[2]李兰娟,任红.传染病学.第9版[M].北京.人民卫生出版社.2018.216-218.
展开
