概述
氟斑牙可表现为牙釉面无光泽,不透明,可有白垩样线条、斑点,也可出现颜色改变。
该病的发生与长期摄入过量氟有关,可遵医嘱使用过氧化氢、稀盐酸等进行药物脱色。
症状
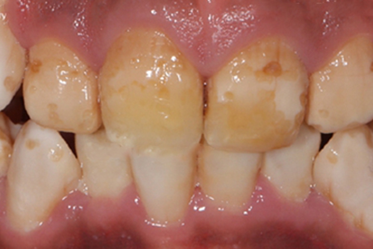
氟斑牙可表现为釉面光泽度改变,牙齿釉面失去光泽,不透明,可见白垩样线条、斑点、斑块。釉面也可出现不同程度的颜色改变,浅黄、深褐色或黑色,着色范围可有细小斑点、条纹、斑块,直至布满大部釉面。
部分患者可出现牙齿釉面缺损,缺损的程度不一,轻者缺损仅限于釉质表层,严重者缺损可发生在所有的牙面,包括邻接面,可破坏牙齿整体外形。


病因
氟斑牙的根本原因是长期摄入过量氟,但发病机制尚不明确。据认为在牙齿发育的过程中,饮用了含氟量超标的水,进入到血液里面,影响了牙齿、牙釉质的发育,造成的牙面上有斑块的症状。
治疗
氟斑牙患者可遵医嘱使用过氧化氢、稀盐酸等进行药物脱色。此外,日常注意使用防氟牙膏也有一定疗效。
参考文献
[1]刘德培.中华医学百科全书公共卫生学环境卫生学[M].北京.中国协和医科大学出版社.2017.366-368.
[2]王旭霞,杨征主编.全国普通高等医学院校五年制临床医学专业“十三五”规划教材;口腔科学[M].北京:中国医药科技出版社.2016.11.133.
展开
