概述
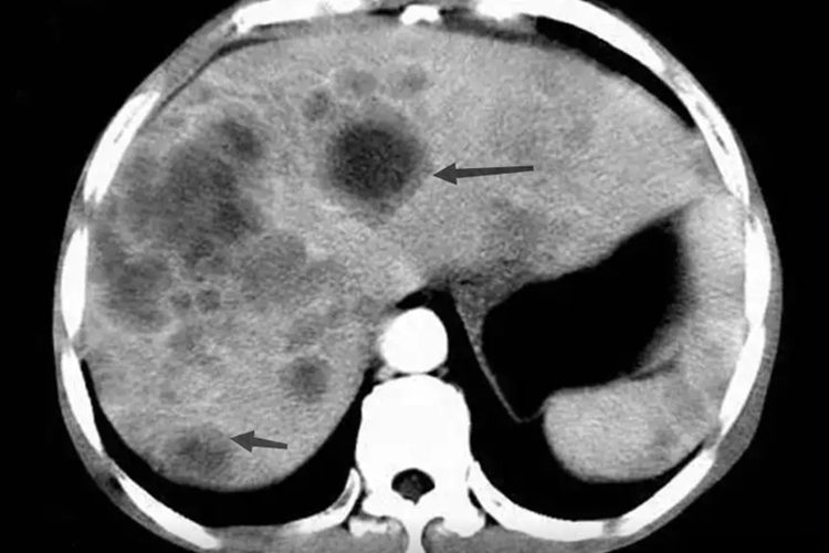
转移性肝癌牛眼征表现为肝内出现多发结节,其边界清楚,周缘区有低回声晕环。
转移性肝癌多由其他器官恶性肿瘤经血液或淋巴等途径转移至肝导致,需要及时进行治疗。
症状
转移性肝癌患者进行影像学检查肝内有牛眼征表现,即肝内出现多发结节,其边界清楚,周缘区低回声晕环,内部为高回声,有时高回声的中央有小片状低回声或无回声区。结节较小者肝大小可正常,较大转移灶可引起肝局部肿大,挤压肝内血管会出现移位等征象。

病因
肝是多种恶性肿瘤中最易发生转移的器官。其他器官的恶性肿瘤也可通过血液、淋巴或直接侵犯等途径转移到肝,称转移性肝癌。转移性肝癌会出现大小不一,数目不等的小结节,多数散在分布于肝内,结节中央易发生坏死,影像可见肝内回声不均匀,进而有牛眼征表现。
治疗
多数转移性肝癌对各种治疗的反应不理想,其临床治疗方案较多,包括手术、化疗(全身静脉化疗和介入治疗)、基因治疗和肝转移灶的局部治疗(射频消融、激光消融、无水乙醇注射和冷冻切除术)等。对于结直肠癌肝转移,手术是目前最重要的治疗方式。
参考文献
[1]木亚林.肿瘤学基础与临床诊疗[M].开封.河南大学出版社.2020.85.
[2]胡冬鑫主编.实用消化系统肿瘤综合诊断与治疗[M].昆明.云南科学技术出版社.2020.335.
展开
