概述
手足口病患者的口腔会出现斑疹、水疱,肠道病毒71型、A组柯萨奇病毒是导致手足口病常见的病毒。
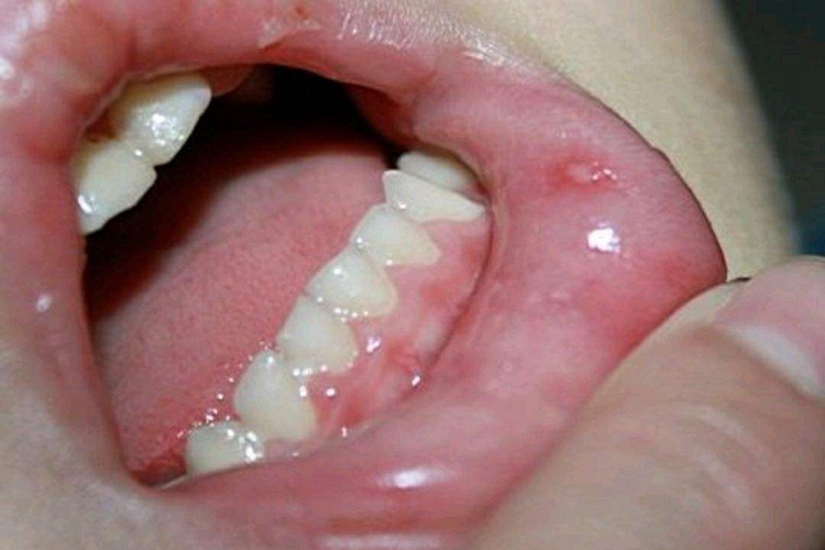
症状
手足口病潜伏期3-7天,多见于2-10岁的儿童,以5岁以下更常见,可在幼儿园中发生流行。口腔会出现皮损,初为红色斑疹,很快发展为2-4mm大小的水疱,疱壁薄,周围绕以红晕,水疱溃破后可形成灰白色糜烂面或浅溃疡。病程1周左右,愈后极少复发。

病因
柯萨奇病毒A16型病毒为本病最常见的病原微生物,肠道病毒71型和其他柯萨奇病毒(如A5、A7、A9、A10、B3、B5)也可引起。密切接触是手足口病重要的传播方式,通过接触被病毒污染的手、毛巾、手绢、牙杯、玩具、食具、奶具以及床上用品、内衣等引起感染,还可通过呼吸道飞沫传播;饮用或食入被病毒污染的水和食物亦可感染。
治疗
手足口病的普通病例与重症病例的治疗方式有所区别。
普通病例
加强隔离,避免交叉感染,适当休息,清淡饮食,做好口腔和皮肤护理,遵医嘱使用利巴韦林等进行抗病毒治疗。
重症病例
如果合并神经系统受累的病例则应给予针对性治疗,如镇静、止惊(地西泮注射液、注射用苯巴比妥钠);控制颅高压,遵医嘱使用甘露醇注射液脱水;呼吸衰竭者进行机械通气等综合治疗。
参考文献
[1]桂永浩,薛辛东.儿科学.第3版[M].北京.人民卫生出版社.2015.510-512.
[2]张学军.皮肤性病学.第9版[M].北京.人民卫生出版社.2013.73-74.
[3]手足口病诊疗指南(2018年版)国家卫生健康委员会[J].中国病毒病杂志.2018.347.
展开
