概述
急性坏死性溃疡性龈炎可见局部黏膜糜烂,同时还可伴随牙龈出血等症状。是一种由多种微生物引起的机会性感染,需及时就医治疗。
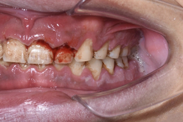
症状
急性坏死性溃疡性龈炎起病急,病程短,常为数天至1-2周,以龈乳头和龈缘的坏死为其特征性损害,尤以下前牙多见,初起时龈乳头充血水肿,个别龈乳头顶端可发生坏死性溃疡,糜烂面上覆有灰白色坏死物,中央凹下如火山口状。龈缘如虫蚀状,坏死区出现灰褐色假膜,擦去后可见出血创面。龈乳头被破坏后与龈缘成一直线,如刀切状。病损一般不波及附着龈,患处牙龈极易出血,疼痛明显并有腐败性口臭。
重症患者可有低热、疲乏等全身症状,并可伴有下颌下淋巴结肿大和压痛。有的患者可能进展为坏死性龈口炎、坏死性溃疡性牙周炎等疾病,从而导致牙周袋形成、牙槽骨吸收和牙齿松动。

病因
急性坏死性溃疡性龈炎是一种由多种微生物(如梭形杆菌、螺旋体等)引起的机会性感染,当宿主局部抵抗力降低时,这些微生物的毒性物质可形成组织病损。
治疗
对于急性坏死性溃疡性龈炎,可先轻轻去除局部坏死组织,去除大块龈上牙石,遵医嘱使用过氧化氢溶液擦拭、冲洗和含漱。必要时在清洁后局部涂布抗厌氧菌制剂,全身给予维生素C、蛋白质等支持疗法。重症患者可口服甲硝唑或替硝唑,对于不良诱因要及时去除。注意具体的治疗需在医生指导下进行,不可擅自处理。
参考文献
[1]张志愿.口腔科学.第9版[M].北京.人民卫生出版社.2018.66-67.
[2]孟焕新.牙周病学.第5版[M].北京.人民卫生出版社.2020.141-144.
展开
