概述
牙齿下面的肉发红常见于牙龈炎、牙周炎、冠周炎,可表现为牙龈发红、咀嚼困难等,还可引起全身不适。
症状
牙齿下面的肉发红常见于牙龈炎、牙周炎、冠周炎,症状有所不同,如下所示:
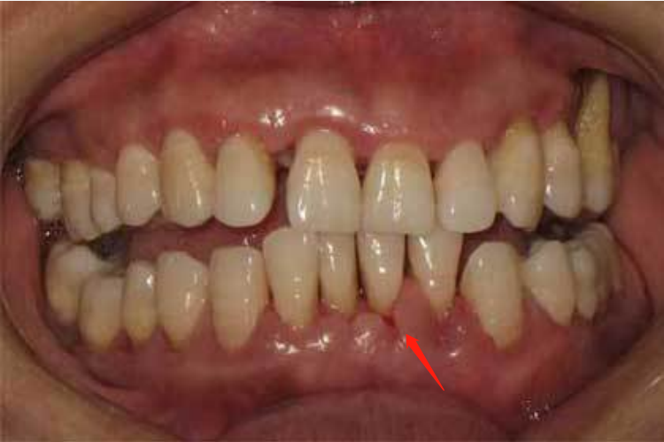
牙龈炎:正常牙龈呈粉红色,牙龈炎可表现为鲜红或暗红色,常在刷牙或咬硬物时牙龈出血。部分患者可感到牙龈局部痒、胀等不适症状。

牙周炎:牙周炎症状与牙龈炎类似,除此之外还会有牙周袋形成。

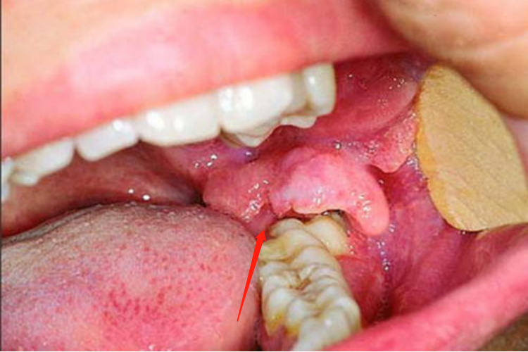
冠周炎:患者可表现为患牙区胀痛不适,当咀嚼、吞咽、开口活动时疼痛加重,口腔检查可见冠周红肿和触痛范围扩大。

病因
牙齿下面的肉发红常见于牙龈炎、牙周炎、冠周炎,但患者具体的症状可能不同,具体的症状主要由疾病本身决定。
牙龈炎:牙菌斑是始动因子,牙石、食物嵌塞、牙错位拥挤等可促进菌斑的积聚,引发或加重牙龈的炎症。
牙周炎:常见病因包括牙石、食物嵌塞、不良修复体、牙排列拥挤等,全身因素仍不明确,可能与营养代谢障碍、内分泌紊乱等有关。
冠周炎:是由于正常萌出或阻生的牙齿,在萌出的过程中牙冠周围软组织发生炎症导致。
治疗
牙龈炎、牙周炎、冠周炎,治疗三种不同类型的疾病,因此需要采取不同的治疗方式。
牙龈炎:首先应去除炎症,可在医生指导下牙齿洁治,局部使用过氧化氢消毒液、复方氯己定含漱液等药物。去除炎症后,若效果不佳可行手术治疗。
牙周炎:应先控制菌斑,常用螺旋霉素、甲硝唑等抗生素杀灭细菌、控制感染,局部可遵医嘱使用过氧化氢冲洗牙周袋。还可以采用洁治术、刮治术清除牙结石、消除牙周袋。
冠周炎:冠周炎的治疗主要以局部冲洗加药物治疗为主,一般首选青霉素类药物,如阿莫西林,还可以使用头孢菌素类、大环内酯类药物。
参考文献
[1]刘秦鹏主编.现代临床外科疾病诊断与治疗[M].天津.天津科学技术出版社.2020.177.
[2]阚全程,张晓坚编.基层医疗卫生机构基本药物应用丛书常见疾病临床药物应用指南西药[M].郑州.河南科学技术出版社.2017.384.
[3]姚文山主编;李佳霖,李茂华,张红霞副主编.国家基本药物临床应用指南[M].天津.天津科学技术出版社.2019.339.
