概述
滴虫性妇科炎症一般指滴虫性阴道炎,可无症状或出现阴道黏膜和分泌物异常等表现。
滴虫性阴道炎是由阴道毛滴虫感染引起的阴道炎症,以性接触传播为主。
症状
滴虫性阴道炎感染初期通常无症状,仅携带滴虫,具有较强的传染性。根据其感染后的不同表现,滴虫性阴道炎可分为急性型和慢性型两种。
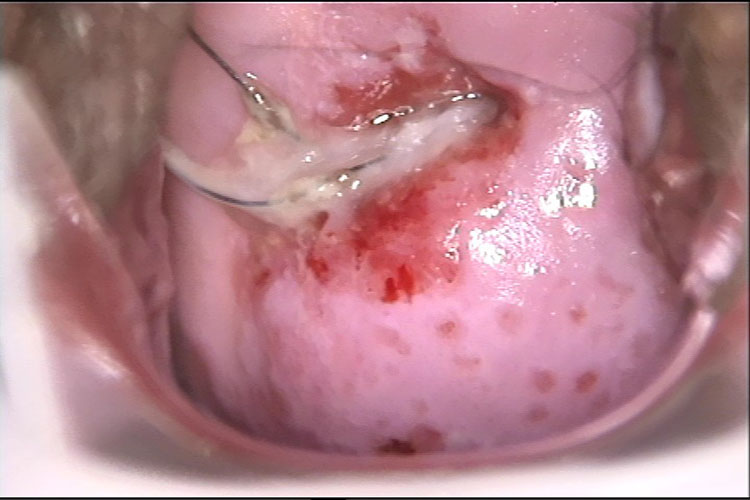
急性型:主要表现为阴道分泌物增多及外阴瘙痒,呈稀薄脓性、黄绿色、泡沫状,有臭味分泌物,可伴有腐败臭味、灼热、疼痛、性交痛等症状。妇科检查时可见阴道黏膜充血、严重者有散在的出血斑点,形成“草莓样”宫颈。后穹窿有多量白带,呈黄绿色、灰黄色或黄白色稀薄脓性分泌物,常呈泡沫状。

慢性型:临床症状一般较轻,白带多为少量或中等,稀薄、稍有臭味;无明显瘙痒或偶伴瘙痒,有时伴有性交痛。妇科检查时,阴道黏膜可无改变或轻度充血。慢性滴虫性阴道炎常合并泌尿道的滴虫感染,出现尿频、尿急、尿痛及血尿等症状。

病因
滴虫性阴道炎是由于阴道毛滴虫感染而引起的阴道炎症性疾病。多是由于性交传播,或经公共浴池、浴盆、浴巾、游泳池、坐式便器、异物、污染的器械及辅料等间接传播所致,滴虫感染后可吞噬乳酸杆菌和阴道上皮细胞,引起阴道黏膜可出现充血、水肿等滴虫性阴道炎症状。
治疗
滴虫性阴道炎者建议遵医嘱使用甲硝唑栓、替硝唑栓等,以进行局部抗感染治疗。可使用乳酸或醋酸冲洗阴道,消除阴道内分泌物,改善阴道环境,随后阴道内放置甲硝唑凝胶或泡腾片,以提高滴虫性阴道炎的治愈率。
参考文献
[1]曹泽毅.中华妇产科学 (中册).第3版[M].北京.人民卫生出版社.2014.1192-1207.
[2]严滨,吕恽怡.妇产科学 高级医师进阶.第1版[M].北京.中国协和医科大学出版社.2016.241-243.
展开
