概述
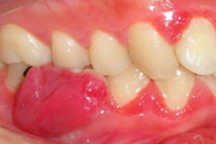
妊娠期龈瘤可见牙龈部位有肉球表现,多呈鲜红色,按压时感觉质地较为松软,可能与牙菌斑有关,建议及时就医治疗。
症状
妊娠期龈瘤可导致牙龈出现局限性的无痛性肉球样皮损,呈鲜红色,质松软,无蒂,体积较大时可遮挡牙齿,容易在触碰后出血,随病情发展,生长迅速。

病因
妊娠期龈瘤与牙菌斑和患者的黄体酮水平升高有关。妊娠本身不会引起龈瘤,只是由于妊娠时性激素水平的改变使原有的慢性炎症加重。因此牙菌斑是本病的直接原因,此外与体内性激素水平的变化有关。
治疗
妊娠期龈瘤治疗上应由医生去除一切局部刺激因素,如菌斑、牙石、不良修复体等,操作时要特别仔细,动作轻柔,尽量减少出血;牙龈肿胀肥大明显、龈袋有溢脓时,可用过氧化氢溶液冲洗或含漱,尽量避免使用药物治疗,以免影响胎儿发育;对于体积较大的妊娠期龈瘤,若已妨碍进食时,可手术切除,手术尽量选择在妊娠期的4-6个月,以免引起流产或早产。
参考文献
[1]张志愿.口腔科学.第9版[M].北京.人民卫生出版社.2018.64-65.
[2]孟焕新.牙周病学.第5版[M].北京.人民卫生出版社.2020.134-136.
展开
