概述
头颅CT增强多指颅脑CT增强扫描,能更清晰地显示颅脑内有无病变情况,依据病变的强化程度和方式,多可明确诊断。
正常情况
正常的颅脑CT增强扫描表现为正常脑实质仅轻度强化,血管结构、垂体、松果体及硬脑膜呈显著强化。此外可见颅骨为高密度,颅底层面可见低密度的颈静脉孔、卵圆孔、破裂孔等。鼻窦及乳突内气体呈低密度。脑实质分大脑额、颞、顶、枕叶及小脑、脑干。皮质密度略高于髓质,分界清楚。

异常情况
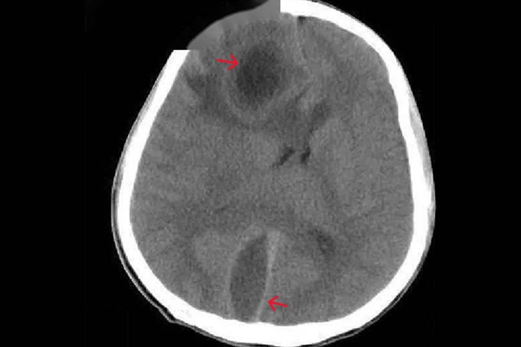
CT增强检查可见病变呈不同形式强化,均匀性强化见于脑膜瘤、转移瘤、神经鞘瘤、动脉瘤和肉芽肿等;非均匀性强化见于胶质瘤、血管畸形等;环形强化见于脑脓肿、结核瘤、胶质瘤、转移瘤等;无强化见于脑炎、囊肿,水肿等。

意义
颅脑CT增强扫描可使病灶与邻近正常组织的密度对比差异增大,以提高病变的检出率及定性诊断的准确率。增强扫描主要用于脑肿瘤、颅内感染及脑血管疾病(如动脉瘤、血管畸形)等。
颅脑外伤患者CT平扫正常但临床疑为颅内等密度血肿者,及原因不明的蛛网膜下腔出血3天以上者,也应行增强扫描。急性颅脑外伤、急性脑卒中、先天性颅脑畸形一般只行平扫,无需增强扫描。
参考文献
[1]徐克,龚启勇,韩萍.医学影像学.第8版[M].北京.人民卫生出版社.2018.45.48.
[2]孙媛媛主编.医学影像诊断与新技术应用[M].长春.吉林科学技术出版社.2019.135-136.
[3]卫颖主编.医学影像检查技术与诊断应用上[M].长春.吉林科学技术出版社.2016.59-60.
[4]姚旭峰.医用CT技术及设备[M].上海.复旦大学出版社.2018.83-84.
展开
