概述
蛔虫虫卵是最常见的人体消化道寄生虫之一的虫卵,可引起蛔虫病。
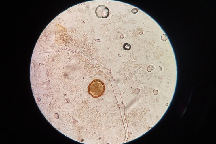
蛔虫虫卵可在人体粪便中查见,有受精卵和未受精卵之分,卵壳厚而透明是其主要特征。
特征
蛔虫虫卵在人体粪便查见,有受精卵和未受精卵之分。受精卵呈宽椭圆形,大小约为(45-75)μm×(35-50)μm,卵壳较厚。卵壳外常有一层由子宫分泌物形成的凹凸不平的蛋白质膜,被宿主胆汁染成棕黄色,卵内含有1个大而圆的受精卵细胞,在其两端与卵壳间可见新月形空隙。虫卵在外界发育,胚细胞不断分裂,最后形成含幼虫的感染期虫卵。
未受精卵呈长椭圆形,大小约为(88-94)μm×(39-44)μm,卵壳与蛋白质膜均较受精。
蛔虫卵薄,卵内充满大小不等的折光颗粒。蛔虫卵壳周围蛋白质膜脱落后,成为脱蛋白膜的虫卵,观察时应注意与其他虫卵相鉴别。卵壳厚而透明是蛔虫卵的主要特征。


危害
蛔虫虫卵可随宿主粪便排出体外,在潮湿、荫蔽、氧气充足的泥土中发育为幼虫。再经1周,卵内幼虫蜕皮1次成为感染期虫卵。人因误食被蛔虫感染期卵污染的食物或水而感染。感染期卵在人小肠内孵出幼虫,数周后可发育为成虫。幼虫和成虫均可致病,幼虫致病主要导致蛔虫性哮喘和蛔虫性肺炎。成虫致病表现为机械性损伤(损伤肠黏膜)、超敏反应(患者可出现荨麻疹、皮肤瘙痒、结膜炎以及中毒性脑病等症状)、营养不良、宿主肠道功能障碍,以及严重的并发症等。
参考文献
[1]诸欣平,苏川.人体寄生虫学.第9版[M].北京.人民卫生出版社.2018.162-164.
[2]李兰娟,任红.传染病学.第9版[M].北京.人民卫生出版社.2018.308-309.
展开
