概述
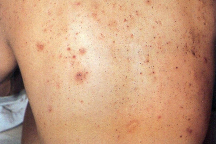
油痤疮可发生在背部,局部出现散在分布的黑头粉刺,可挤出脂质栓塞物。
油痤疮与矿物油引起毛囊上皮细胞增殖与角化过度有关,可通过药物治疗。
症状
油痤疮可发生在背部,表现为多数毛囊性损害,常有结节、炎性丘疹、毛囊炎及囊肿,可出现毛囊口角化、毛孔扩张、毳毛折断及黑头粉刺,散在分布。较大的黑头粉刺挤出脂质栓塞物后,可留有向下凹的瘢痕,一般无自觉症状,有时存在轻度痒感或刺痛。

病因
油痤疮是由石油(包括原油、各种柴油机油、润滑油、切割油、乳化油、变压油等)和煤焦油分馏产品(包括煤焦油、焦油沥青及杂酚油等)引起。
矿物油引起毛囊上皮细胞增殖与角化过度,使皮脂排出发生障碍,或机械性的阻塞作用将毛孔阻塞,形成黑头粉刺,或继发细菌感染形成毛囊炎。青年工人发病与其皮脂腺功能有关。
治疗
油痤疮的治疗方法有全身治疗、局部治疗和物理治疗,需在医生指导下进行。
全身治疗:当炎症明显或有感染现象时,可使用红霉素、阿奇霉素、米诺环素等抗生素消炎治疗,还可配合维生素A、维生素B6、维生素E及锌制剂等药物治疗。
局部治疗:脱离接触物后及时洗浴,可使用温水及中性肥皂清洗皮肤,减少油脂附着,另外可使用阿达帕林凝胶,也可外用红霉素软膏及过氧苯甲酰凝胶等涂抹。
物理治疗:对局部炎症病损可使用蓝光、红光治疗仪或光动力疗法,有瘢痕时可使用皮肤磨削术、激光等换肤治疗。
参考文献
[1]李艳.实用皮肤科疾病诊断治疗[M].北京.科学技术文献出版社.2018.136-137.
[2]张嘉勇,巩学敏,刘楠.职业病危害与防治[M].武汉.武汉大学出版社.2018.43-44.
[3]张建中,高兴华.皮肤性病学.第1版[M].北京.人民卫生出版社.2015.148.
展开
