概述
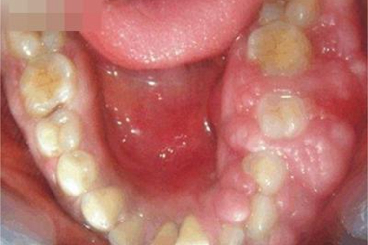
牙龈瘤可表现为下牙龈明显肿大、组织肥厚,牙龈严重变形。
该病可能与局部刺激、激素水平变化等有关,需遵医嘱进行相应治疗。
症状
牙龈瘤可表现为下牙龈明显肿大、组织肥厚,牙龈严重变形,失去原有的形态,其内的牙齿被牙龈组织包裹,因挤压而出现牙列不齐,咀嚼功能受到明显影响。

病因
牙龈瘤可能与食物嵌塞、不良修复体刺激、牙结石、牙菌斑等局部刺激等有关,也可能与妊娠期、哺乳期激素水平变化等有关。
治疗
对于牙龈瘤下牙龈肿大肥厚的情况,首先应去除局部刺激,如不良修复体、牙菌斑、牙结石,然后根据具体病情在医生指导下进行一般治疗、手术治疗。
一般治疗:日常保持口腔清洁,饭后10分钟内刷牙、漱口。保持饮食清淡,少食辛辣、刺激、坚硬的食物,戒烟戒酒。注意休息,多饮水,保持心情放松和充足的睡眠。
手术治疗:可在局麻下手术切除牙龈瘤,如牙龈瘤多次复发,可遵医嘱将患牙拔除。
参考文献
[1]张志愿.口腔科学.第9版[M].北京.人民卫生出版社.2018.169.
[2]孟焕新.牙周病学.第5版[M].北京.人民卫生出版社.2020.140-141.
[3]张震康,俞光岩,徐韬.实用口腔科学.第4版[M].北京.人民卫生出版社.2016.96.
展开
