概述
心肌炎是心肌炎性疾病,常见病因为病毒感染。病程多有自限性,可进展为扩张型心肌病。
心肌炎仅依靠心电图很难查出,需要结合病史、胸部X线、超声等检查来判断。
诊断
心肌炎需要结合以下检查才可诊断:
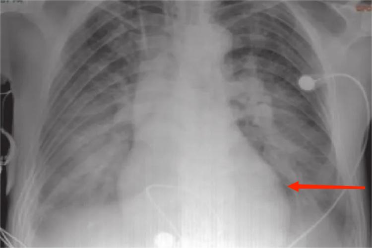
胸部X线检查:可见心影扩大,有心包积液时可呈烧瓶样改变。

心电图:常见ST-T改变,包括ST段轻度移位和T波倒置。合并急性心包炎的病人可有aVR导联以外ST段广泛抬高,少数可出现病理性Q波。可出现各型心律失常,特别是室性心律失常和房室传导阻滞等。
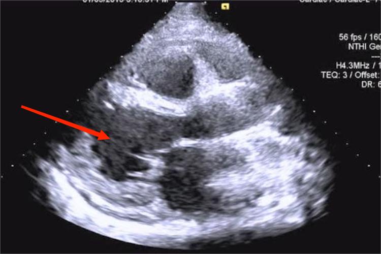
超声心动图检查:可正常,也可显示左心室增大,室壁运动减低,左心室收缩功能减低,附壁血栓等。合并心包炎者可有心包积液。


治疗
病毒感染所致的心肌炎尚无特异性治疗,应该以针对左心功能不全的支持治疗为主。病人应避免劳累,适当休息。出现心力衰竭时酌情使用利尿剂、血管扩张剂、ACEI等。出现快速型心律失常者,可采用抗心律失常药物。高度房室传导阻滞或窦房结功能损害而出现晕厥或明显低血压时,可考虑使用临时心脏起搏器。
除上述检查外还可进行一些其他的检查来帮助诊断,如心脏磁共振、非特异性炎症指标检测、病毒血清学检测、心内膜心肌活检等。
参考文献
[1]葛均波,徐永健,王辰.内科学.第9版[M].北京.人民卫生出版社.2018.270-271.
[2]段志军.内科学 高级医师进阶.第1版[M].北京.中国协和医科大学出版社.2016.192-193.
展开
