概述
根尖囊肿患者临床可表现为牙龈处单发的囊肿,呈小疙瘩样。该情况的病因较多,是一种常见的口腔疾病,可遵医嘱治疗。
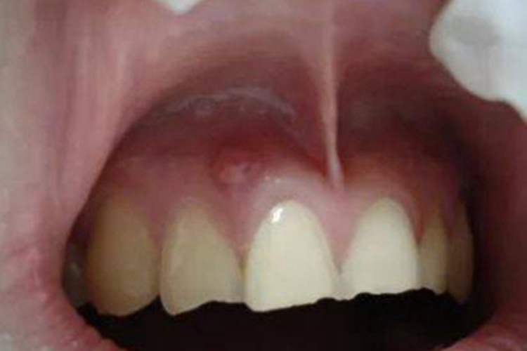
症状
根尖囊肿患者临床可表现为牙龈处单发的囊肿,呈小疙瘩样,隆起于皮肤表面,边缘较整齐,与周围正常黏膜分界清晰,下方牙齿有叩痛感。

病因
根尖囊肿的病因较多,是一种常见的口腔疾病,好发于青少年,可由慢性根尖周肉芽肿或慢性根尖周脓肿等发展而来。因牙根感染、牙髓坏死,进而根尖周形成肉芽肿或脓肿,随后上皮细胞长入其内作为衬里形成囊肿内膜,病牙根尖突入囊肿腔内。增生的上皮团中央发生变性与液化,周围组织液不断渗出,逐渐形成根尖囊肿。
治疗
对于根尖囊肿牙龈上有个疙瘩的患者,需由专业医生通过取上颌窦根治术式切除囊肿。若病牙尚稳固,有保留可能,则行根尖切除或根管治疗,以避免囊肿再发。否则,应同时拔除病牙。
在治疗期间,饮食方面要以清淡饮食为主,少吃辛辣、刺激性的食物,术后要注意保持口腔卫生,早晚刷牙,饭后漱口。
参考文献
[1]孙虹,张罗.耳鼻咽喉头颈外科学.第9版[M].北京.人民卫生出版社.2018.244.
[2]樊明文.中华医学百科全书 2 临床医学 口腔医学[M].北京.中国协和医科大学出版社.2018.48-49.
展开
