概述
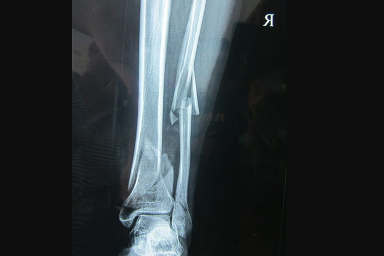
小腿骨折一般指的是胫腓骨骨折,临床常见骨折部位的疼痛、肿胀、畸形。
小腿骨折常是由于外界暴力导致,可以手法复位、石膏固定治疗,必要时可进行手术。
症状
小腿骨折的主要症状是疼痛、肿胀、畸形和功能障碍。骨折后患肢有剧烈疼痛,尤以活动时加剧。对于儿童症状较轻的骨折、成人的单纯腓骨骨折,局部肿胀、压痛程度相对较轻,活动受限不明显,甚至可以行走。如骨折有明显的移位,可表现为小腿的畸形、反常活动,有骨擦音、骨擦感。


病因
导致小腿骨折的损伤因素有3种,具体如下:
超越骨自身能力的损伤,即疲劳骨折(应力骨折)。
低能量暴力导致的较稳定的轻度移位骨折。
高能量暴力造成的严重软组织破坏、神经血管损伤、粉碎骨折、骨缺损,这种高能量暴力常导致肢体多种组织严重创伤,肢体存活困难。
治疗
小腿骨折的治疗方式包括非手术治疗和手术治疗两大类,分别适应于不同的情况。
非手术治疗
手法复位,夹板或石膏固定:对于低能、移位小,单纯胫骨干骨折稳定性骨折,皮肤条件允许可通过闭合复位以石膏、支具等外固定能有效地治愈骨折。
跟骨牵引:对于累及关节的严重粉碎骨折或合并皮肤挫伤不宜手术时,可行跟骨牵引,辅以手法复法,然后以4-6kg维持牵引,待有纤维骨痂形成而成稳定性骨折后解除牵引,用长腿管形石膏固定。待骨性愈合后才能去拐行走。
手术治疗
开放复位内固定:适用于不稳定型和开放的胫骨骨折,最常用的内固定是带锁髓内钉和钢板螺钉。其中开放伤口应彻底反复清创,合理应用抗生素,早期关闭伤口,必要时植骨治疗。
外固定支架固定:适用于开放性骨折,尤其是皮肤、软组织损伤严重,伤口污染,骨缺损、粉碎性骨折的固定。
参考文献
[1]肖瑞霞著.实用骨科护理规范[M].长春.吉林科学技术出版社,2019.126-127.
[2]王海滨等主编.临床骨科手术学.上.第2版[M].长春.吉林科学技术出版社,2019.85.
[3]孟凡龙主编.现代实用骨科基础及临床诊疗[M].青岛.中国海洋大学出版社,2020.69.
