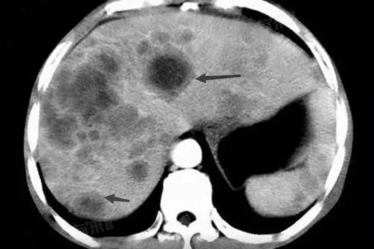
牛眼征是医学影像学术语,与转移性肝癌等肝脏病变密切相关,其病因多样,症状因个体差异而异,治疗包括药物、手术、放射、介入及化疗,治愈可能性取决于疾病性质、阶段及患者健康状况。

1、病因分析
- 牛眼征的出现与肝脏的继发性肿瘤有关,如腺癌的肝转移;肝硬化、胆汁淤积性肝硬化、酒精性肝硬化以及血吸虫病性肝硬化等也可能导致肝脏出现类似牛眼征的影像学表现,通常是由于长期肝脏炎症、纤维化,或特定病原体感染所致,影响肝内的血液循环和组织结构,形成特定的影像学改变。
2、症状表现
- 牛眼征本身并非一种症状,而是疾病在影像学上的表现,导致牛眼征出现的疾病,如转移性肝癌或各种类型的肝硬化,伴随着临床症状,可能包括肝区疼痛、黄疸、腹水、乏力、食欲不振、体重下降等,具体症状因个体差异和疾病进展阶段而异。
3、治疗措施
- 药物治疗:对于部分类型的肝硬化,可能需要使用药物来减轻肝脏的炎症反应和促进胆汁排泄。对于转移性肝癌,靶向药物可用于控制病情发展,药物的使用需谨遵医嘱。
- 手术治疗:在病情严重或药物治疗效果不佳的情况下,可能需要进行手术治疗以切除病灶,手术可以精准地切除肿瘤组织,防止癌细胞进一步扩散。
- 放射治疗:放射治疗利用放射线来消灭癌细胞,适用于某些类型的肝癌和肝转移癌的治疗,通过精准定位,放射治疗可以减轻症状并延长患者的生存期。
- 介入治疗:介入治疗是一种微创治疗方式,通过影像设备引导将药物或器械直接送达病灶,这种治疗方法可以有效缩小肿瘤体积并减轻症状。
- 化疗:化疗是使用化学药物来杀死癌细胞的方法,适用于多种类型的癌症治疗,包括转移性肝癌。化疗可以控制病情发展并防止癌细胞扩散。
4、是否能治愈
- 牛眼征的治愈可能性取决于其背后疾病的性质、进展阶段以及患者的整体健康状况,对于早期的、局限性的肝脏病变,通过积极的治疗可能达到治愈或长期控制病情的目的。对于晚期的、广泛转移的肝脏肿瘤,治愈的难度较大,但通过综合治疗仍然可以延长患者的生存期并提高生活质量。
- 预防牛眼征相关疾病,要避免接触肝毒性物质,如化学药剂。积极防治可能引发肝硬化的疾病,像病毒性肝炎,需做好疫苗接种和防护。保持健康体重,避免肥胖。适度运动,增强体质。定期体检,尤其是肝脏相关检查,以便早发现问题。
存在牛眼征相关肝脏疾病患者的日常注意事项
- 饮食上,保持均衡营养,增加优质蛋白摄入,如蛋类、奶类,增强机体抵抗力;减少高盐、高脂肪食物,减轻肝脏代谢负担。严格戒酒,酒精会进一步损害肝脏功能。
- 休息至关重要,保证充足且规律的睡眠,每晚睡够7-8小时,让肝脏在睡眠中有更好的修复环境。避免过度劳累,不要长时间从事重体力劳动或熬夜工作。
- 保持情绪稳定,避免焦虑、抑郁等不良情绪,因为负面情绪可能影响身体内分泌,不利于肝脏恢复。要注意避免感染,不去人员密集、空气不流通的场所,如必须前往可佩戴口罩,防止病毒、细菌等病原体感染加重病情。定期复查,根据医嘱调整养护方案。

