硬膜下出血主要因头部受暴力作用所致,直接暴力如头部遭受撞击,间接暴力像头部快速减速运动,均可使脑表面与颅骨相对位移,进而撕裂连接脑与硬脑膜的桥静脉,引发出血。此外,脑皮质血管在头部外伤时也可能破裂,造成硬膜下出血。

- 按出血时间,硬膜下出血可分为急性、亚急性和慢性。急性硬膜下出血多在伤后数小时至3天出现症状,常伴有严重脑挫裂伤,患者会迅速陷入昏迷,且昏迷程度逐渐加深,同时可出现头痛、呕吐、偏瘫、失语等神经系统症状,还可能因颅内压急剧升高引发脑疝,危及生命。
- 亚急性硬膜下出血症状在伤后4天至3周内显现,临床表现相对缓和,但仍有头痛、头晕、恶心、呕吐等症状,部分患者会出现精神症状或意识障碍。
- 慢性硬膜下出血则在伤后3周以上才出现症状,多见于老年人,因脑萎缩使桥静脉相对拉长,轻微头部外伤即可致其破裂。早期症状不典型,可表现为头痛、头晕、记忆力减退、反应迟钝等,随血肿增大,会出现颅内压增高症状及局灶性神经功能缺损症状。
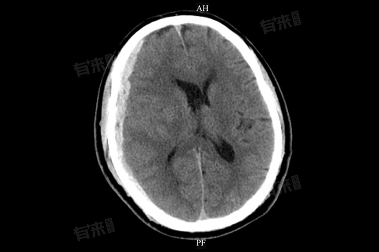
- 医生诊断硬膜下出血,主要依靠头颅CT检查,可清晰显示颅骨内板下新月形高密度影(急性)、等密度影(亚急性)或低密度影(慢性),MRI检查对发现等密度血肿及了解血肿演变过程更具优势。
治疗方面,对于出血量少、症状轻微且病情稳定的患者,可采取保守治疗,包括卧床休息、密切观察生命体征及神经系统症状变化、使用止血药物、脱水降颅压药物等。而对于出血量较大、出现脑疝迹象或保守治疗效果不佳的患者,需进行手术治疗,常见手术方式有钻孔引流术、开颅血肿清除术等。
硬膜下出血护理措施
1、病情监测护理:密切观察患者生命体征,包括体温、血压、心率、呼吸等,每15-30分钟测量一次并记录,若出现异常及时报告医生。同时,严密观察患者意识状态,通过呼唤患者姓名、询问简单问题、观察肢体活动等判断意识变化,如患者出现意识模糊、躁动不安或昏迷加深,提示病情加重。
2、体位护理:患者应绝对卧床休息,床头抬高15-30度,以促进颅内静脉回流,减轻脑水肿,降低颅内压。避免频繁翻身及剧烈搬动患者,防止加重出血。若患者呕吐,应将头偏向一侧,防止呕吐物误吸导致窒息。
2、呼吸道护理:保持患者呼吸道通畅,及时清除口腔及呼吸道分泌物。鼓励患者深呼吸及有效咳嗽,定时为患者翻身、拍背,促进痰液排出,预防肺部感染。对于昏迷患者,必要时可进行气管插管或气管切开,便于吸痰及机械通气。

