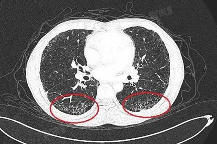
右肺中叶条索影是肺部影像学检查中常见的表现,主要由肺部陈旧性病变引起,如肺炎、肺结核等痊愈后留下的疤痕。若条索影较小、边界清晰且无呼吸道症状,一般无需特殊处理,只需定期复查,但若出现症状或条索影范围较大,需及时就医并遵医嘱治疗。

1、肺炎:在肺炎治愈后,肺部可能会残留少量的纤维条索影,是炎症吸收后的一种表现。条索影通常较小,边界清晰,边缘光滑,不会对肺功能造成影响,也不会对身体产生不良影响,其严重程度较低。
2、肺结核:肺结核治愈后,由于纤维结缔组织修复,会留下一定的痕迹,在影像学检查中常表现为索条影。相较于肺炎后的条索影,肺结核治愈后的条索影可能范围稍大,属于陈旧性病变,不会对健康造成威胁。
3、支气管扩张:支气管扩张是一种常见的呼吸系统疾病,由于支气管壁结构受到破坏,导致支气管异常扩张。在影像学检查中,支气管扩张可能表现为支气管壁的增厚和管腔的扩张,部分情况下可能伴随有肺部的纤维条索影,可能提示支气管炎症的进一步加重。
4、肺纤维化:肺纤维化是一种慢性肺部疾病,特征是肺部组织逐渐被纤维性组织所替代,导致肺组织变得硬化和失去弹性,最终影响呼吸功能。在肺纤维化的过程中,受损的肺组织会被纤维组织所修复,在影像学检查中表现为索条影,其严重程度相对较高。
5、恶性病变:纤维条索影的出现也可能与恶性病变有关,当条索影边界不清、边缘模糊,伴有实变时,需高度警惕恶性病变的可能性,条索影的严重程度极高。
针对右肺中叶条索影,患者需保持警惕,若条索影较小、边界清晰且无呼吸道症状,一般无需特殊处理,若出现呼吸道症状或条索影范围较大,需及时就医并遵医嘱进行进一步检查和治疗。在日常生活中,患者应保持良好的生活习惯,避免吸烟、饮酒等不良行为,定期进行体检,以便及时发现并治疗肺部病变。
如何应对右肺中叶条索影的问题
- 针对右肺中叶条索影的治疗,需结合具体情况进行。对于由肺炎、肺结核等陈旧性病变引起的条索影,若无明显症状,一般无需特殊治疗,只需定期复查观察变化,但若条索影范围较大或伴有呼吸道症状,需遵医嘱进行抗炎、祛痰等对症治疗,以缓解症状。
- 对于支气管扩张伴纤维条索影的患者,需针对支气管扩张进行抗炎、祛痰等对症治疗,注意定期复查,且对于肺纤维化导致的纤维条索影,需遵医嘱进行抗纤维化、抗炎等综合治疗,以延缓病情进展。若条索影疑似恶性病变,需立即进行进一步检查,以明确诊断,并在专业医生的指导下根据病情进行手术、放疗、化疗等综合治疗,以提高治愈率和生活质量。

