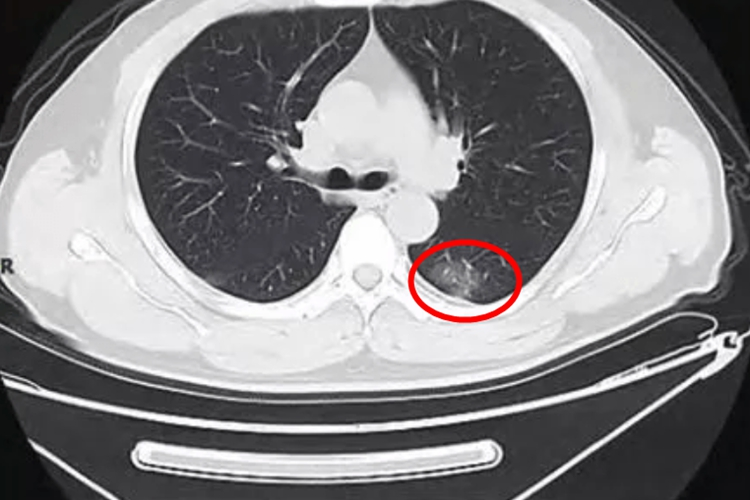
磨玻璃肺部结节是一个影像学概念,指的是在肺部CT检查中呈现为雾状密度阴影的结节。对于3mm大小的磨玻璃结节,大多数情况下并不严重。这种微小的结节很可能是良性的,由炎症、感染等因素引起,不会对身体造成明显的损害,也无需特殊治疗。

虽然3mm磨玻璃结节多为良性,但仍存在恶性病变的可能性。因此,一旦发现此类结节,建议遵医嘱进行定期复查,以监测结节的生长情况。如果在复查过程中发现结节明显增大、形态改变或出现其他异常情况,应及时就医进行进一步检查和治疗。
此外,保持良好的生活习惯和心态也是预防和治疗肺部结节的重要因素。戒烟、戒酒、避免吸二手烟、保持室内空气清新、加强体育锻炼等都有助于提高身体免疫力,降低肺部疾病的风险。

