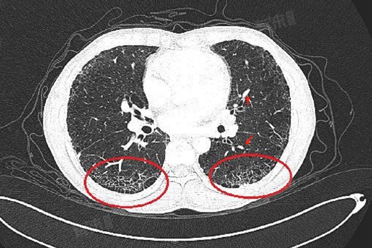
肺部出现少许条索影是否要紧要依据多种因素来判断,不同的成因、伴随症状等都会影响其严重程度,有的可能只是良性的过往痕迹,如陈旧性病变、慢性炎症导致等,无需太过担忧,而有的则可能预示着潜在疾病,需要进一步关注。

1、陈旧性病变导致:如果是既往肺部感染治愈后留下的痕迹,一般是肺部组织修复过程中形成的纤维条索影,这种情况通常不要紧,一般不会对肺部功能产生明显影响,大多也不会引起不适症状,只要定期复查观察其有无变化即可,不需要特殊的干预治疗。
2、慢性炎症引起:当存在长期的慢性炎症,如慢性支气管炎等,肺部可能出现少许条索影。只要炎症能得到较好控制,病情处于稳定状态,不是特别要紧。不过需要关注炎症进展情况,遵医嘱进行相应治疗,控制慢性炎症继续发展,防止条索影增多或范围扩大,影响肺部通气等功能。
3、与职业、环境因素有关:长期处于粉尘、化学物质等不良环境中工作,或者有长期吸烟史等,肺部也可能出现少许条索影。此时如果能尽快脱离不良环境、戒烟,并且没有明显不适症状,通常不太要紧。但要是继续暴露在有害环境里,病情可能会加重,所以要改善工作、生活环境,做好防护,定期复查肺部情况。
4、肺间质病变表现:若少许条索影是肺间质病变的早期表现,就要引起重视了,相对比较要紧。虽然目前条索影数量少,但肺间质病变有可能会逐渐进展,影响肺部的气体交换功能,导致呼吸困难等症状出现,需要进一步完善相关检查,如肺功能检测等,明确诊断后按医生制定的方案积极治疗,延缓病情发展。
当发现肺部有少许条索影时,不要过于惊慌,应向医生详细了解可能的原因。严格按照医生建议定期复查胸部影像学,对比条索影变化。保持健康生活方式,如适当锻炼、规律作息、均衡饮食,利于肺部健康,若出现不适症状及时就医。
肺部有少许条索影在不同情况下的治愈情况
- 既往疾病痊愈后遗留的纤维条索影,基本是无法完全消除的,但也不会进一步发展,不会对肺部功能和身体健康造成危害,所以从这个角度来说算是一种治愈状态,只需定期复查监测即可。
- 慢性炎症引起如果能积极控制慢性炎症,如通过规范使用抗炎药物等措施,让炎症处于稳定、缓解状态,条索影一般不会增多、范围也不会扩大,肺部功能可维持正常,这种情况下可达到临床治愈,虽条索影可能还存在,但对生活影响极小。
- 与职业、环境因素有关,若及时脱离不良环境、戒烟并做好防护,肺部情况可能不再恶化,条索影会保持稳定甚至可能随着时间推移、肺部自我修复慢慢变淡,肺部功能可逐渐恢复正常,实现较好的治愈效果;反之则可能持续加重,难以治愈。
- 肺间质病变引发的条索影较难完全治愈,尤其病情进展后会更棘手。不过若发现早,通过遵医嘱使用糖皮质激素、免疫抑制剂等药物,配合氧疗等治疗手段,可在一定程度上延缓病情进展、改善肺部功能,尽量让条索影维持在少量状态。

