左侧颈内动脉C6段动脉瘤严重程度不能一概而论,取决于大小、形态、位置、生长速度和是否破裂等。小且规则、未破裂时病情相对轻,大或不规则、破裂则严重,位置靠近神经也可能有影响。

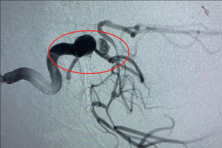
- 颈内动脉C6段动脉瘤是指发生在颈内动脉海绵窦段的动脉瘤,动脉瘤本身并非肿瘤,而是动脉壁局部的薄弱和膨出,其严重程度取决于动脉瘤的大小、形态、位置、生长速度以及是否破裂等因素。
- 如果动脉瘤较小,形态规则且没有破裂的迹象,通常情况下病情相对较轻。患者可能没有明显的症状,或者仅有轻微的头痛、头晕等不适感。这并不意味着可以忽视,仍需要定期进行影像学检查,如脑血管造影、磁共振血管成像或计算机断层血管造影等,以监测动脉瘤的变化。
- 随着动脉瘤的增大或形态变得不规则,其破裂的风险也会相应增加,一旦动脉瘤破裂,会导致严重的颅内出血,是一种极其危急的情况,可能引起剧烈头痛、呕吐、意识障碍,甚至危及生命。
- 动脉瘤的位置也会影响其严重程度,如果动脉瘤靠近重要的神经结构,如动眼神经、滑车神经等,即使动脉瘤未破裂,也可能由于对周围神经的压迫而导致相应的神经功能障碍,如眼睑下垂、眼球运动障碍等。
确诊动脉瘤后应避免剧烈运动和情绪激动,防止血压波动。患者需要严格控制血压、血脂、血糖,并遵循医嘱定期复查,如有头痛、呕吐等异常及时就医。

