外踝骨折是一种常见的骨折类型,指脚踝外侧突起的骨头,即外踝因外力作用而发生的断裂。外踝骨折是一种可以治愈的疾病,但治疗过程需要根据患者的具体情况制定个性化的方案。

1、病因
- 外踝骨折是踝关节骨折中最常见的一种,通常由于摔倒、扭伤或受到撞击等外力作用导致。可能来自交通事故、运动损伤、跌倒等。外踝骨折发生时,患者会感到脚踝外侧剧烈的疼痛,并伴有肿胀、发红、淤血等症状。如果骨折严重,还可能在外踝部位摸到明显的骨头错位。
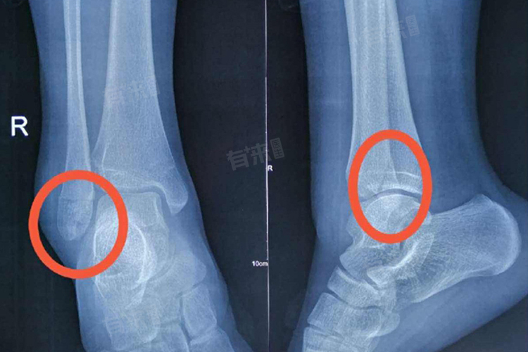
2、诊断
- 外踝骨折的诊断通常依赖于患者的病史、临床表现以及影像学检查,医生会询问患者的受伤经过,观察脚踝部位的症状,并进行触诊以检查是否有骨头错位。X线、CT等影像学检查也是确诊外踝骨折的重要手段,可以清晰地显示骨折的部位、形态和程度,为制定治疗方案提供重要依据。
3、治疗
- 保守治疗:外踝骨折的治疗方法取决于骨折的类型、移位程度以及患者的具体情况,对于无移位或轻微移位的外踝骨折,可以遵医嘱采取保守治疗,如使用短腿石膏夹或U形石膏夹固定,并配合活血化瘀、促进骨折愈合的药物进行治疗。在保守治疗期间患者需要定期复查X线片,了解骨折愈合情况。
- 手术治疗:对于移位明显或粉碎性的外踝骨折,则需要进行手术治疗。手术方法包括切开复位内固定术等,通过手术可以恢复骨折端的正常解剖关系,并进行固定,促进骨折愈合和踝关节功能的恢复。在手术治疗后患者同样需要定期复查,并根据医生的建议进行康复训练。
4、治愈情况
- 外踝骨折通常能治愈,经过及时恰当治疗和康复,大多数患者可以获得良好的愈合和功能恢复。需要注意的是,部分复杂骨折,伴有严重软组织损伤的骨折,或者在治疗过程中出现复位不理想、固定不牢固、康复不规范等情况,可能会影响骨折的愈合和功能恢复。
在治疗过程中,患者需要积极配合医生的治疗方案,并进行规范的康复训练,但不要过度劳累,防止压迫患肢,影响病情好转。
外踝骨折挂什么科
- 骨科:是最为合适和专业的科室,因为骨科专门负责骨骼系统疾病的诊断和治疗。脚踝骨折属于常见的骨骼损伤,骨科医生能够评估骨折的严重程度,并制定个性化的治疗方案。
- 急诊科:如果外踝骨折伴有严重出血或其他紧急状况,应立即前往急诊科就医。急诊科可以快速完成初步检查并获得必要的急救措施,待病情稳定后再转至骨科进一步诊治。
- 运动医学科:如果外踝骨折是由于运动导致的,那么运动医学科也是不错的选择。科室关注于运动相关损伤及疾病的预防、诊疗和康复,能够提供专业的评估和治疗。
- 关节外科:对于复杂的脚踝骨折病例,可能需要关节外科医师的参与,关节外科专门研究关节疾病的诊断和治疗,能够处理复杂的骨折情况。

