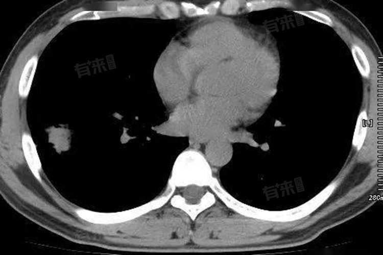
周围型肺癌是指发生于三级支气管以下、呼吸性细支气管以上的肺癌,肿瘤位于肺段支气管远端,贴近肺膜,以腺癌居多,CT影像表现多样,包括通常为类圆形或不规则肿块,边界不光整。

1、肿瘤形态:
- 多呈类圆形或不规则形肿块,这与肿瘤细胞不均衡生长、浸润周边组织有关。相较于良性病变规则的圆形、椭圆形外观,周围型肺癌边界常不光整,边缘可有分叶征,这是因肿瘤各部位生长速度差异所致,以腺癌出现分叶征较为多见。
- 除分叶征外,还常见毛刺征,毛刺为短而细的线状影,从肿块边缘向周围肺组织伸展,如同刺猬身上的刺,反映肿瘤呈浸润性生长,致使周边肺间质反应、纤维结缔组织增生。
2、密度:
- 密度通常不均匀,内部可见坏死、囊变区,肿瘤生长迅速,中心部分血供跟不上需求,就会出现缺血坏死,在CT图像上呈低密度灶;部分还能发现空洞,空洞内壁多不规则,有壁结节附着,与肿瘤组织坏死后排出有关。
3、强化特点:
- 增强扫描时呈不均匀强化,因肿瘤内血管分布杂乱、部分区域坏死无强化,强化后肿瘤实质部分CT值明显升高,有助于和少血供的良性病变鉴别。
当出现持续咳嗽、咳痰带血、胸痛且无好转,或是体检发现肺部外周异常阴影时,需警惕周围型肺癌,应尽快就医。建议挂肿瘤科或胸外科,就诊携带病历与影像资料,治疗依病情选手术、放化疗,期间保持乐观配合医生。
周围型肺癌进行CT检查的注意事项
- 衣物配饰选择:检查当日身着宽松、无金属配饰衣物,像带金属拉链、纽扣的上衣,金属项链、胸针等要取下,避免金属伪影干扰CT成像,保证影像精准度,利于医生清晰观察肺部病灶细节。
- 饮食适度调整:普通CT检查无需空腹,可正常进食,但别吃太多产气食物,如豆类、碳酸饮料,以防肠道积气遮挡肺部,影响观察;若是增强CT,检查前4-6小时需禁食,减少造影剂注射引发呕吐几率。
- 情绪平稳把控:不少患者面对CT检查心生焦虑、恐惧,要学会自我调节,可与家人聊天、听舒缓音乐转移注意力。情绪稳定利于配合检查,减少呼吸急促、身体颤抖,确保扫描顺利,图像质量不受影响。
- 呼吸训练配合:检查前医护人员常指导呼吸训练,患者务必认真练习,按要求吸气、呼气、屏气。平稳呼吸能减少肺部运动伪影,让CT清晰捕捉病灶形态、位置,提高诊断可靠性。

