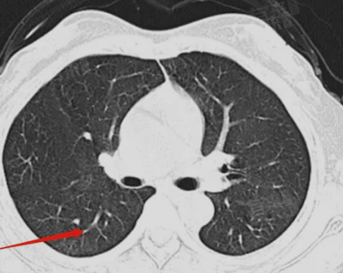
右肺叶少许条索影是肺部影像学检查结果的一种描述,通常指的是在肺部CT或X光检查中,发现右肺叶存在少量的条索状或线状的高密度阴影。这种阴影可能由多种原因引起,如陈旧性病变、肺炎、支气管炎等,形态和分布特点有助于医生判断病因。

1、陈旧性病变:既往患有肺炎、肺结核等肺部疾病,在疾病痊愈后,肺部可能留下瘢痕组织,此类瘢痕在影像学上表现为条索影。这种情况下,患者通常没有呼吸道症状,且条索影不会对身体产生明显影响,一般不需要特殊治疗,只需定期复查即可。
2、肺炎、支气管炎:当肺部发生急性感染性炎症时,如肺炎、支气管炎等,也可能在影像学上表现为条索影。这种情况通常伴随有呼吸道症状,如咳嗽、咳痰、发热等,治疗时医生会根据病原体给予相应的抗感染治疗。
3、肺栓塞、急性心力衰竭:如肺栓塞、急性心力衰竭等急性非感染性疾病,也可能导致肺部出现条索影。这些疾病通常伴有其他明显的临床症状和体征,需要根据具体情况进行诊断和治疗。
如肺纤维化、肺癌、胸膜增厚等情况也可能导致肺部出现条索影,此类疾病在影像学上的表现各有特点,需要结合其他检查结果和临床表现进行综合判断。平时应保持健康的生活方式,如戒烟、适量运动、均衡饮食等,有助于增强身体免疫力,预防肺部疾病的发生和发展。

