右肺中叶纤维灶的严重程度因具体病因和临床表现而异,对于无症状且面积较小的纤维灶,一般无需特殊处理;但对于有症状或面积较大的纤维灶,则需要进一步检查和治疗。

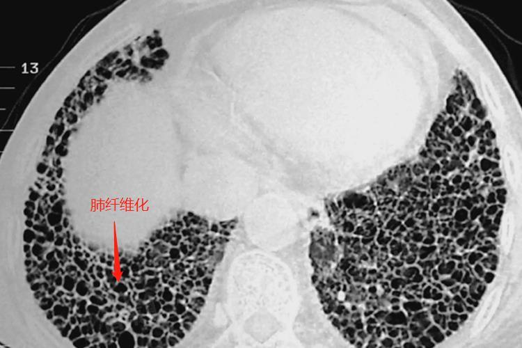
- 右肺中叶纤维灶是肺部损伤或感染后,在修复过程中纤维组织增生并遗留的痕迹,纤维灶在影像学上常表现为索条状高密度影。纤维灶的形成主要是由于肺部受到炎症、感染、损伤等刺激后,纤维母细胞增生并分泌胶原蛋白进行修复,过度增生则可能形成纤维灶,常见的病因包括肺结核、肺炎、肺癌等。
- 如果纤维灶是由于肺部炎症或感染治愈后遗留的,且面积较小,对肺功能影响有限,患者通常无明显临床症状,此时无需特殊处理,定期复查即可。如果纤维灶面积较大或位于关键部位,可能影响肺功能,导致患者出现咳嗽、咳痰、胸闷、气急等症状。
- 此时需要进一步检查和治疗,特别是当纤维灶由特发性肺间质纤维化引起时,可能导致肺部大面积纤维化病变,严重影响患者的生活质量,属于比较严重的情况。如果纤维灶是由于肺癌等恶性肿瘤引起,严重程度则取决于肿瘤的分期和治疗方法。
对于右肺中叶纤维灶的患者,建议定期进行胸部高分辨率CT检查,以监测纤维灶的变化情况。如果出现咳嗽、咳痰、胸闷、气急等症状,应及时就医检查和治疗。日常生活中应注意保持良好的生活习惯和饮食习惯,避免吸烟、饮酒等有害因素刺激肺部。

